做牙齿美白哪里好?人们对美的无限追求,也带动了整个社会时尚的风向,市场上出现了许多美白美容的医疗机构,鱼龙混杂,很难分辨效果好坏。面对铺天盖地的广告宣传,选择一家适合自己的美白机构很重要,那么做牙齿美白哪里好?
牙齿美白还是选择正规专业的口腔医院比较好,中韩合作·唯美口腔是你不错的选择,特选的360°彩光美白技术是美白牙齿的非常有效的方法。
1、安全 - 不损牙龈以及牙釉质
在进行360°彩光美白技术光美白前,郑州唯美口腔将根据每个人的口腔状况对牙齿进行免费的洁牙、抛光工作,这样做不仅无损牙釉质,保护牙龈组织,而且还能延长彩光美白的美白效果。
2、无痛 - 不刺激牙龈及牙神经
360°彩光美白技术光美白在低温环境下进行,不接触牙龈,其温和的亲水性药物中含有抗过敏成分,完全避免了对牙神经的刺激,让您在轻松舒适的过程中享受牙齿美白SPA。
3、快速 - 仅需30分钟立刻美白
郑州唯美口腔专业医师娴熟的操作技术,配合进口美白剂及美国Beyond冷光美白设备,缩短了牙齿美白的过程,全口照射一次即可,全程仅需30分钟左右,不影响正常生活。了解更多牙齿美白技术,点击在线咨询,直接与专家相互沟通!
4、长效 - 美白效果长达2年以上
360°彩光美白技术可以为牙齿提高5-14个美白色阶,效果立竿见影,与传统牙齿美白相比,更快更有效更持久,在一般的情况下牙齿可维持2年以上的美白效果。
中韩合作·唯美口腔牙齿美白技术推荐
美国360°彩光美白剂是新技术产品,美白过程中无刺激、无副作用,安全呵护牙齿结构和珐琅质,经实验对比,产品优于目前市场上任何冷光牙齿美白剂,在美国,已有超过100万以上的人采用了此种美白剂进行牙齿美白,因此被公认是目前有效及安全的牙齿脱色美白剂。推荐阅读:360°彩光美白
中韩合作·唯美口腔牙齿美白专家推荐

程玲,口腔执业医师,精湛技术:牙齿美容、牙齿矫正、1小时德国西诺德CAD/CAM3D齿雕全瓷修复。毕业于河南医科大学,先后在华西口腔医学院及三级甲等医院口腔中心工作,积累了丰富的临床经验。在固定修复、美齿美白方面技艺精湛有着突出优势,曾参与中韩美容整形峰会,并于核心期刊发表论文多篇。该医师技术娴熟,操作规范轻柔,行医严谨,待人真诚,已成功完成近千例的牙齿美容修复,深得患者好评。点击在线咨询,了解牙齿美白的优惠信息!在线预约可享更多优惠!
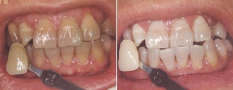
中韩合作·唯美口腔牙齿美白前后对比图

温馨提示:做牙齿美白手术,一定要到正规、专业的口腔医疗机构,这样才更有保障。如果您有更多未解决的疑问,可点击中韩合作·唯美口腔的在线咨询,给您详细的解答。