隐形正畸多少钱?牙齿畸形的问题让很多朋友面临着不同程度的麻烦,不管在形象上,还是在口腔的咀嚼功能上,或者是在口腔健康方面都会深受其害。而隐形正畸技术的出现,能够全方位的解决我们牙齿畸形的问题,那么隐形正畸多少钱呢?
中韩合作·唯美口腔专家指出,对于隐形正畸多少钱来说是没有一个统一的价格,因此有很多因素都在影响着价格,比如矫正的医院、医生、自身情况等等。而且一般隐形正畸的价格要比传统牙齿矫正的高一些。
一、隐形正畸多少钱与患者自身情况有关:每个人牙齿状况都会有所不同,牙齿畸形严重的所需要的费用要高一点,因为它需要矫正的时间和技术都要高很多,从而影响了隐形正畸的价格。
二、隐形正畸多少钱还与患者选择的医院和医生有关:选择的口腔医院不同,收费也会有所差异。因为每家医院的医疗水平、专家技术等都会有好坏,自然所需要的价格也会有高低。一般在正规的口腔医院所需要的费用要与普通的牙科诊所要稍微高一点。
三、隐形正畸多少钱与患者选择的隐形矫正器有关:隐形矫正器采用的是一种更加先进和安全的材料,在价格上要比一般的牙齿矫正费用高。隐形矫正器也分好几种,不同的矫正器价格自然也不相同。推荐阅读:韩式隐形正畸
让畸形牙在无形中得到完美矫正——韩式隐形正畸技术
中韩合作·唯美口腔引进的韩式四维隐形正畸技术继承了传统的牙颌畸形矫治的理念,是现代口腔医学、计算机辅助四维诊断、个性化设计及数字化成型技术的完美结合,是正畸领域的新突破。韩式四维隐形正畸由知名专家坐诊,实现全程无痛无创快速疗法,专门治疗各种牙齿排列不整齐,咬合错位等牙齿形态问题,还你一口整齐、坚固耐用的健康原牙。点击在线咨询,了解牙齿矫正的优惠信息!在线预约可享更多优惠!
中韩合作·唯美口腔牙齿矫正专家推荐

李玉如,口腔正畸科。副教授,副主任医师,硕士生导师,口腔医学正畸专业硕士。1991年毕业于中山医科大学口腔系,一直从事口腔正畸的临床、教学和科研工作,临床经验丰富,并注重知识的学习更新,2004年硕士学位毕业。擅长正畸科各类牙颌畸形及疑难病例的矫治,对青少年反牙合、开牙合、功能性矫治、阻生牙的导萌牵引及成年人牙颌畸形、牙周病的正畸治疗有良好的疗效。
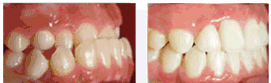
中韩合作·唯美口腔牙齿矫正前后对比图

如果您还有想要了解的情况,可以点击我们的在线咨询,中韩合作·唯美口腔的在线专家会给您专业,详细的解答,或是拨打我们的24小时康复热线,与专家一对一详解。