地包天矫正的佳时期应该是在4-6周岁骨骼弹性好的童年时期,很多父母都是选择在这个时期跟孩子做矫正手术。那么,地包天矫正价格是多少?相信不少父母也特别关心这个问题,希望他们在读了本文之后对地包天矫正价格有所了解。
地包天矫正价格:
首先,跟患者的牙齿情况有关。由于每个人地包天的畸形情况不同,所以治疗的难易程度就不同,价格也就有所差别。地包天矫正的前期治疗包括检查、拍X光片、设计、分牙、粘托槽,有的可能需要拔牙。地包天矫正前期治疗费用一般为总费用的三分之一左右。
其次,跟医院的知名度和专家的技术水平有关。可以说很多医院都开展了地包天矫正项目,但是由于每个医院的设备情况和专家的技术水平不同,地包天矫正的价格自然也就不同。地包天矫正首先应该对地包天患者的检查、诊断,制定科学合理的矫正计划,直至整个矫正过程结束,都需要牙齿矫正专科医师严谨的观察和思考,并不断采取相应的矫正手段,方能取得终的完美效果。推荐阅读:韩式隐形正畸
中韩合作·唯美口腔韩式隐形正畸技术推荐
唯美口腔引进的韩式隐形正畸技术继承了传统的牙颌畸形矫治的理念,是现代口腔医学、计算机辅助四维诊断、个性化设计及数字化成型技术的完美结合,是正畸领域的新突破。韩式隐形正畸由中韩齿科专家联合坐诊,实现全程无痛无创快速疗法,专门治疗各种牙齿排列不整齐,咬合错位等牙齿形态问题,还你一口整齐、坚固耐用的健康原牙。该技术是完全个性化的设计理念,可根据正畸者的情况佩带不同的矫治器,完全不影响正畸者的生活。具有隐形高效,稳定美观的特点,并且大大地缩短了疗程,使治疗时间缩短近三分之一,复诊时间缩短二分之一,为正畸者大大节省了时间,透明隐形正畸矫正矫治器厚度不到1mm,透明、光滑、舒适,无异物感和粘膜刺激,是目前受欢迎和信赖的美齿项目。点击在线咨询,了解牙齿矫正的各项优惠活动,在线预约可享更多优惠!
中韩合作·唯美口腔牙齿矫正专家推荐

李玉如,口腔正畸科。副教授,副主任医师,硕士生导师,口腔医学正畸专业硕士。1991年毕业于中山医科大学口腔系,一直从事口腔正畸的临床、教学和科研工作,临床经验丰富,并注重知识的学习更新,2004年硕士学位毕业。擅长正畸科各类牙颌畸形及疑难病例的矫治,对青少年反牙合、开牙合、功能性矫治、阻生牙的导萌牵引及成年人牙颌畸形、牙周病的正畸治疗有良好的疗效。
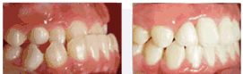
中韩合作·唯美口腔牙齿矫正前后对比图

温馨提示:如果您觉得我们的文章并没有解释得很清楚,或有其他问题,您可以点击我们的在线咨询专家。中韩合作·唯美口腔会给您一个专业的分析,详细的解答,并给您一个满意的答复!