牙齿发黄的原因是什么?如今很多人开始关注牙齿美白问题,拥有一口好牙,能给个人的形象增加不少亮点,对事业也有很大帮助。牙齿发黄是正常现象,很多人都有这样的问题,大都是日常饮食和口腔习惯导致的,那么牙齿发黄的原因是什么?
牙齿发黄有一些属于病变,如氟斑牙症,即黄板牙,此病是由于氟素在牙齿上沉积所致,长期生长在高氟区的人群中的常见表现。平时生活中,很多因素影响牙齿变黄,日常生活中的一些引起牙齿发黄的原因以下可见:
1、饮水:若饮用水中含氟量过高或经常饮用含碳酸的饮料会使牙齿着色;
2、饮食:某些食物中含有食用性色素,可以使牙齿造成外源性色素沉积,久而久之可使牙齿变色,如浓茶,咖啡及醋等易染色饮料和食品均可以使牙齿变色;
3、空气污染:若妊娠期妇女或婴幼儿长期吸人含氟量过高的污浊空气。就有可能引起氟牙症,使牙齿变色。了解更多牙齿变黄的原因,点击在线咨询,与专家一对一交流咨询!
中韩合作·唯美口腔牙齿美白技术推荐
360°彩光美白技术是一项正流行于欧美的新兴的牙齿美白技术,它将高强度彩光定点照射,它不仅可以去除牙齿表面的色素沉积,及深层所附着的色素,美白效果持久有效,仅需短短的30分钟,即可让您拥有一口润白亮泽的牙齿。具有持久、自然、快速、专业、安全等五大优势。
适用范围:一般外因性色素牙(咖啡、茶渍、烟渍沉积、槟榔染色)、中轻度四环素牙、氟斑牙、药物性变色牙、遗传性黄牙等外源性和内源性牙齿颜色难看问题。推荐阅读:360°彩光美白
中韩合作·唯美口腔牙齿美白专家推荐

罗柏柯,口腔执业医师,精湛技术:美容修复、口内治疗、1小时德国西诺德CAD/CAM3D齿雕全瓷修复。毕业于郑州大学口腔系,曾于华西口腔医学院从事口腔修复、口腔外科以及口腔内科工作,拥有丰富的临床经验,主要擅长烤瓷和全瓷的美容修复及龋病的充填治疗,牙髓病、根尖周病的根管治疗。多次应邀参加国内外口腔学术交流,在省级、国家级刊物上发表学术论文数十篇。从医以来,接诊病例数千例,为人谦和,热心细致,操作轻柔,得到客人与同事一致肯定与称赞!点击在线咨询,了解牙齿美白的优惠信息!在线预约可享更多优惠!
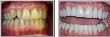
中韩合作·唯美口腔牙齿美白前后对比图

温馨提示:想要牙齿洁白美丽,做牙齿美白手术,一定要到正规、专业的口腔医疗机构,这样才更有保障。如果您有更多未解决的疑问,可点击中韩合作·唯美口腔的在线咨询,给您详细的解答,相信唯美,就是相信你自己!