四环素牙的病因有哪些?伴随这生活水平的提高,人们对形象的完美也提出了要求,牙齿洁白整齐也成为形象的一个尺度。患上四环素牙,张口便是一片黄色,想笑却不能笑,生活中仿佛多了一层乌云,对患者的身心健康产生影响,那么,四环素牙的病因有哪些?
四环素对牙的主要影响是着色,有时也合并釉质发育不全。四环素对牙着色和釉质发育不全的影响程度,与下列因素有关:
1、四环素族YAO物本身的颜色,如:去甲基金霉素呈镉黄,土霉素呈柠檬黄色。
2、降解四环素而呈的色泽,因为四环素对光敏感,可以在紫外线或日光下变色。
3、与釉质本身的结构有关,在严重釉质发育不全,釉质完全丧失时,则着色的牙本质明显外露;如果轻度釉质发育不全,釉质丧失透明度而呈白垩色时,可遮盖着色的牙本质,反而使牙色接近正常。了解更多牙齿变色,点击在线咨询,直接与专家详细交谈,了解更多!
4、四环素在牙本质内,因结合部位的深浅而使牙本质着色的程度有所不同,当着色带越靠近釉牙本质界时,越易着色,因而、在婴儿早期,形成外层牙本质时,用YAO影响大。
中韩合作·唯美口腔牙齿美白技术推荐
360°彩光美白技术是一项正流行于欧美的新兴的牙齿美白技术,它将高强度彩光定点照射,它不仅可以去除牙齿表面的色素沉积,及深层所附着的色素,美白效果持久有效,仅需短短的30分钟,即可让您拥有一口润白亮泽的牙齿。具有持久、自然、快速、专业、安全等五大优势。
适用范围:一般外因性色素牙(咖啡、茶渍、烟渍沉积、槟榔染色)、中轻度四环素牙、氟斑牙、药物性变色牙、遗传性黄牙等外源性和内源性牙齿颜色难看问题。推荐阅读:360°彩光美白
中韩合作·唯美口腔牙齿美白专家推荐

程玲,口腔执业医师,精湛技术:牙齿美容、牙齿矫正、1小时德国西诺德CAD/CAM3D齿雕全瓷修复。毕业于河南医科大学,先后在华西口腔医学院及三级甲等医院口腔中心工作,积累了丰富的临床经验。在固定修复、美齿美白方面技艺精湛有着突出优势,曾参与中韩美容整形峰会,并于核心期刊发表论文多篇。该医师技术娴熟,操作规范轻柔,行医严谨,待人真诚,已成功完成近千例的牙齿美容修复,深得患者好评。点击在线咨询,了解牙齿种植的优惠信息!在线预约可享更多优惠!
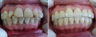
中韩合作·唯美口腔牙齿美白前后对比图

温馨提示:以上便是关于“四环素牙的病因有哪些”的相关介绍,希望对您的牙病情有所帮助,如果想了解更多关于其他的信息,请您点击我们中韩合作·唯美口腔医院的在线咨询,有专业医师为你做详细的解答。