烤瓷牙能让参差不齐的牙齿变得整齐美观,让体验者的个人形象焕然一新,摆脱因牙齿缺失给吃饭说话带来的困扰。烤瓷牙已经成为牙齿美容人士比较关注的一种牙齿治疗方法。烤瓷牙有哪些优点?以下便是专家针对烤瓷牙优点的介绍。
烤瓷牙的优点:
1、极高的强度:金属与陶瓷粉在高温下熔融结合在一起后,足以承受口腔内的咀嚼力,贵金属与陶瓷牙结合力更强大。
2、良好的生物相容性:烤瓷牙生物相容性好,不刺激口腔组织,易清洁。特别是贵金属烤瓷牙和全瓷牙,因其具有的化学惰性而具有抗腐蚀性,组织无过敏。
3、良好的边缘封闭:有些朋友可能会吃过这样的苦头:一颗不太好或缺了一些牙,通过钢牙,金牙包起来后十年左右,感到发臭或疼痛,就是因为假牙冠与真牙之间不够密合,口水及食物残渣会渗入其中,真牙就逐渐腐蚀,从而出现假牙发臭,松动脱落,这就是假牙边缘封闭不好的结果。烤瓷牙的制作要求边缘贴合,在龈下1mm处,加上专用非水溶性的粘结材料,就保证了边缘的密封。
4、保护牙体硬组织和牙髓:因为需做烤瓷牙的牙齿往往是变色龋坏多的牙齿,烤瓷冠制作完成后,整个真牙就被金色围在中间,咀嚼时的力量作用在牙冠上,不会折裂或崩掉,而粘结瓷牙冠的粘结剂及瓷层,有良好的绝缘性,防止了外界刺激对牙髓的伤害。
5、美观:其颜色表面用与自然牙色相似,烤瓷牙具有永久不变色的特点,折光性都跟真牙一致。推荐阅读:3D全瓷牙
中韩合作·唯美口腔牙齿美容技术推荐
中韩合作·唯美口腔拥有的3D全瓷牙采用国际实力的氧化锆材料,运用先进的CT三维数字扫描技术、电脑智能CAD/CAM系统设计,在短时间内根据患者的口腔条件、脸型、肤色,量身定做个性化全瓷牙修复美容方案。3D全瓷牙拥有完美的精密度;具有真牙相匹配的透光性,色泽逼真,可媲美自然牙;良好的生物相容性,对牙龈无刺激;强度绝佳,强度超出真牙,拥有卓越的咬合力量,无不良金属离子渗出,磨牙较少,更大程度地保留原有的牙齿组织,所以能达到佳的美齿效果及与软组织的舒适接触。点击在线咨询,了解全瓷牙的优惠活动,在线预约可享更多优惠!
中韩合作·唯美口腔牙齿美容专家推荐

艾西川,主任医师,精湛技术:颌面外科、牙齿美容、1小时德国西诺德CAD/CAM3D齿雕全瓷修复。毕业于中国口腔知名学府——西安第四军医大学,原南京军区口外资深专家,郑州市口腔医院院长。从事口腔全科临床工作三十余年,对口腔内外科有丰富的临床经验,拥有万例成功案例。曾获市级科研成果奖两项,省级三项,多部专著被列为医大教材,在国内外知名刊物上发表专业论文20余篇,多次应邀参加国内外口腔大型研讨会,于口腔治疗方面有独到的治疗方法,深受客人好评。
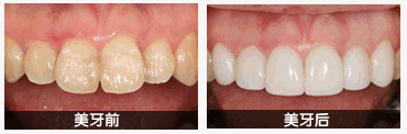
中韩合作·唯美口腔牙齿美容前后对比图

温馨提示:只要您正确使用,烤瓷冠的使用寿命会较长的。如果您觉得我们的文章并没有解释得很清楚,或有其他问题,您可以点击我们的在线咨询专家,中韩合作·唯美口腔会给您一个专业的分析,详细的解答,并给您一个满意的答复!