烤瓷牙的使用寿命应如何延长?选择烤瓷牙修复牙齿问题,我们当然希望在取得良好修复效果的同时,能够确保烤瓷牙使用的时间够长,这样才能够让我们避免许多不该发生的问题。那么烤瓷牙的使用寿命应如何延长呢?
中韩合作·唯美口腔专家指出:根据材料、保养、技术等影响因素的不同,烤瓷牙的寿命从5年到30年都有可能,而烤瓷牙的使用寿命主要取决于以下几个因素:
1.牙齿本身情况
烤瓷牙的使用时间和牙齿的本身情况关系密切,一般来说,如果牙齿本身情况较好、缺牙较少、剩下牙体组织越多的,做了烤瓷以后使用的时间就越长。
2.选择材料
现在的烤瓷牙种类很多,而每种烤瓷牙的特性又各不相同,因此,烤瓷牙的使用年限也就有所差距。其中,烤瓷牙的耐用度好的还算金属烤瓷牙,因为金属烤瓷牙的强度等各方面较好,所以使用寿命就会较长。
3.医师技术
临床医生的技术水平是评估烤瓷牙寿命的关键因素,烤瓷牙和真牙之间越密合,二者之间的缝隙越小,越有利于保护自然牙齿。寿命长久的烤瓷牙必然有良好的密合性,这就要求医师必须经过良好的专科训练,能把牙预备成良好的形态,满足加工要求。
4.使用保养
牙齿在使用过程中是要维护的,烤瓷牙也一样。烤瓷牙怕的就是接触过于坚硬的东西而产生崩瓷。在日常进食时应尽量避免直接啃咬过硬的食物,如核桃、大闸蟹等,同时还需注意做好口腔卫生,如早晚刷牙,使用漱口水等,以保持牙齿的干净与健康。推荐阅读:3D全瓷牙
烤瓷牙好的技术推荐——3D全瓷牙
中韩合作·唯美口腔拥有的3D全瓷牙采用国际实力的氧化锆材料,运用先进的CT三维数字扫描技术、电脑智能CAD/CAM系统设计,在短时间内根据患者的口腔条件、脸型、肤色,量身定做个性化全瓷牙修复美容方案。3D全瓷牙拥有完美的精密度;具有真牙相匹配的透光性,色泽逼真,可媲美自然牙;良好的生物相容性,对牙龈无刺激;强度绝佳,强度超出真牙,拥有卓越的咬合力量,无不良金属离子渗出,磨牙较少,更大程度地保留原有的牙齿组织,所以能达到佳的美齿效果及与软组织的舒适接触。点击在线咨询,了解牙齿美容的优惠信息!在线预约可享更多优惠!
中韩合作·唯美口腔牙齿美容专家推荐

莫三心教授,主任医师,硕士研究生导师。唯美口腔特邀专家,河南省口腔医学领域知名专家、郑州大学知名教授。精湛技术:牙齿种植、口腔修复、牙齿美容修复曾多次获得卫生部及省市各级表彰。主编多部并且参与编写多部国家医学教材,发表学术论文20余篇。擅于口腔修复,并涵盖口腔专业各个领域,可谓是大师级的口腔专家,在国内口腔界享有很高的声望。
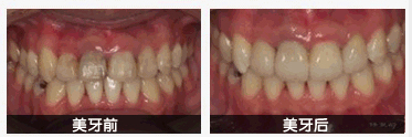
中韩合作·唯美口腔牙齿美容前后对比图

通过以上的介绍,相信您对这一问题已经有了更深的了解,中韩合作·唯美口腔专家指出牙齿修复一定要到正规医院进行,以免由于手术不当而给自身造成终身遗憾。如果您还有其他问题,可以在线咨询专家,专家会为您做出耐心的解答。