烤瓷牙的价格如何?如今,爱美人士开始选择烤瓷牙来改善个人口腔问题,效果美观而且耐磨可是很多人对烤瓷牙的价格并不是很了解,那么,烤瓷牙的价格如何?
唯美口腔专家指出:烤瓷牙的价格跟烤瓷牙的材料有关。一般说来,烤瓷牙分为三类,贱金属烤瓷、贵金属烤瓷以及全瓷烤瓷牙。
、贱金属烤瓷,便宜,从200到500都有,看医院不同。这种烤瓷牙目前已经不推荐使用了,贱金属里面金属离子游离,容易造成牙龈变黑,牙龈变黑后蛮难恢复。
第二、贵金属烤瓷,是目前比较好的的是黄金烤瓷牙种类,金金属是里面内壁,耐磨跟坚固度都很好,大概1200 左右一颗,其他贵金属还有铂合金烤瓷之类的,价格有所不同,700到1200的都有。了解更多烤瓷牙,点击在线咨询,直接与专家相互交流!
第三、就是全瓷烤瓷牙,这个好的烤瓷牙,不管从透光度,耐磨度和坚固方面来讲,跟真牙区别度几乎没有,但是勒个贵,大概1500左右一颗。
中韩合作·唯美口腔牙齿美容技术推荐
中韩合作·唯美口腔拥有的3D全瓷牙采用国际实力的氧化锆材料,运用先进的CT三维数字扫描技术、电脑智能CAD/CAM系统设计,在短时间内根据患者的口腔条件、脸型、肤色,量身定做个性化全瓷牙修复美容方案。3D全瓷牙拥有完美的精密度;具有真牙相匹配的透光性,色泽逼真,可媲美自然牙;良好的生物相容性,对牙龈无刺激;强度绝佳,强度超出真牙,拥有卓越的咬合力量,无不良金属离子渗出,磨牙较少,更大程度地保留原有的牙齿组织,所以能达到佳的美齿效果及与软组织的舒适接触。推荐阅读:3D全瓷牙
中韩合作·唯美口腔牙齿美容专家推荐

莫三心教授,主任医师,硕士研究生导师。唯美口腔特邀专家,河南省口腔医学领域知名专家、郑州大学知名教授。精湛技术:牙齿种植、口腔修复、牙齿美容修复曾多次获得卫生部及省市各级表彰。主编多部并且参与编写多部国家医学教材,发表学术论文20余篇。擅于口腔修复,并涵盖口腔专业各个领域,可谓是大师级的口腔专家,在国内口腔界享有很高的声望。点击在线咨询,了解牙齿美容的优惠信息!在线预约可享更多优惠!
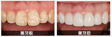
中韩合作·唯美口腔牙齿美容前后对比图

郑州牙科医院排名好的温馨提示:以上便是对烤瓷牙的介绍介绍,想了解更多烤瓷牙的价格问题,请点击在线咨询,联系我们的在线专家,将为您提供更多关于烤瓷牙的价格问题。