烤瓷牙根部为什么会发黑

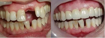
  烤瓷牙根部为什么会发黑,郑州的李女士因为以前牙齿断了,所以就去想了 一颗烤瓷牙,近总觉得牙齿根部发黑,所以就想问问医生烤瓷牙根部为什 么会发黑,下面我们就一起去了解一下吧。
  烤瓷牙根部为什么会发黑
 
  烤瓷牙一般多少钱,烤瓷牙根部为什么会发黑,郑州唯美口腔专家介绍,烤瓷牙发黑很多时候是 因为不注意口腔卫生造成的,因为很多人不刷牙即会造成牙缝发黑,或者是 喜欢吃颜色重的食物,很多时候吃东西后市要刷牙的,因为烤瓷牙的种类很 多,有金属烤瓷牙和全瓷牙,金属烤瓷牙会在使用过程中不注意黑边就渐渐 的透出来,就是我们所说的牙根发黑,但是全瓷牙是不会的,里外全是特殊 材料,不存在金属,所以不会造成牙齿黑线。
 
  那么如何预防烤瓷牙牙齿发黑
 
  唯美专家介绍, 医生技术水平在很大程度上决定着烤瓷牙的修复是否成功, 烤瓷牙的边缘不合适,与真牙的密合度不够,这时烤瓷牙就会出现一系列问 题,包括牙龈黑线,不仅这些,制作精良的烤瓷牙,如果保养良好能维持二 十年甚至更长的时间。因此烤瓷牙安装好以后,细心保养是很重要的。推荐阅读>>>>烤瓷牙术后不需要保护吗
 
  郑州牙科医院排名,郑州唯美口腔专家介绍,一般我们要做烤瓷牙,首先要到专业正规的口腔医 院检查牙齿,了解自己能做哪种烤瓷牙才可以,看了以上的介绍,如果有其 它的问题,可点击我们的客服进行在线咨询。