美容冠手术前需要做哪些准备工作?正所谓万事俱备,才好迎东风。郑州口腔方面专家就详细介绍一下美容冠的术前准备工作,以便广大患者了解更多的知识配合医师治疗,取得更好的治疗效果,开启新的美丽人生。
美容冠术前准备工作:
1、做美容冠手术前要对美容冠有一个初步的认识,以配合医生的制作。而美容冠并不是所有的患者有是可以使用的,其也有一定的适应人群。美容冠主要适合成年人使用,需要磨出牙齿很薄的一层,年龄过大的话,可能会造成牙龈萎缩、牙齿松动等,这需要看情况,还有一些患者如果有严重的咬紧不适合做美容冠。
2、 选择美容冠材料。挑选适合自己的美容冠,必须根据个人的肤色、脸型进行选择,材料有多种,适合自己的才是好的,美牙后效果也会更好。因此,选择美容冠材料要有针对性,另外进行牙齿美容时选择正规的机构更为重要。
3、 进行全面根管治疗除了要选择适合自己的美容冠材料,还要对口腔健康状况进行全面的检查,对有需要的牙齿进行根管治疗,将牙病消灭在做美容冠前。推荐阅读:3D仿生美容冠
中韩合作·唯美口腔3D仿生美容冠技术推荐
唯美“美容冠”技术具有美牙不拔牙,不伤牙齿、牙龈,无不良反应,多年后牙龈不易出现黑线等优点,全程无痛,高效快捷,采用德国3D齿雕系统,美容冠从取模--设计--制作-安装 到试戴整个安装过程,一气呵成,用时只需1小时。治疗后牙色真实自然,持久不变色,坚固耐磨,如按医嘱进行保养,可相伴终生。中韩合作·唯美口腔拥有精湛的技术团队,完备的就医环境,高度负责的工作态度,为每一位患者者量身打造康复方案,更多内容请点击在线咨询。
中韩合作·唯美口腔牙齿美容专家推荐

徐雅轩,国内知名CAM/CAD修复专家,精湛技术:牙齿矫正、牙齿美容修复、1小时德国西诺德CAD/CAM3D齿雕全瓷修复。毕业于南京医科大学口腔专业,长期从事口腔种植临床工作,在部队三甲医院工作多年,拥有多年深厚的口腔种植与研究经验。曾应邀参加瑞士ITI种植培训、德国西诺德3D齿雕培训,并出任多国种植集团特邀医师。其娴熟的种植技术和丰富的临床经验有机结合,注重从顾客的角度为出发点制定治疗方案,行医严谨,待人真诚,让广大缺牙顾客重新拥有完美的牙齿,深得顾客好评。
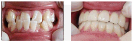
中韩合作·唯美口腔牙齿美容前后对比图

以上就是专家的介绍,中韩合作·唯美口腔是一家正规、高档的口腔医院具有先进一流的诊疗设备,专业实力的资深医生,实施无痛治疗,满足患者要求,以服务顾客为。唯美口腔真诚欢迎您的咨询和就诊。