美容冠术后注意事项有哪些?王经理平时工作比较繁忙,终于在今年国庆节期间得到一个完整的假期,于是趁放假期间做了美容冠牙齿修复手术。但由于没有在术后做好保养,近出现了发现美容冠受到损伤。专家提醒,一定要谨遵医嘱,注意术后的相关事项。
美容冠术后注意事项:
1、初戴美容冠时有轻度不适感患者应耐心练习使用,逐渐适应。
2、初戴时应吃软的食物,适应后再吃正常食物。
3、美容冠美牙后不要咬太硬的食物,比如核桃一类的东西。
4、初期与修复前相比,上下牙尖对位可能会有变化,要缓慢进食,逐渐适应,以免咬伤颊舌粘膜。
5、美容冠与基牙的接合处容易聚集菌斑,形成牙石,应注意保持口腔清洁,养成餐后刷牙的习惯,牙缝间可以使用牙线清洁,并定期到机构检查、洁牙。
6、由于牙体预备时磨除了部分牙釉质,初戴美容冠时,会出现冷热敏感或疼痛,随时间推移会慢慢缓解。
7、初戴美容冠避免吃过凉过热的食物,以免引起激发痛。大约两周以后可以正常进食。
8.美容冠受到超过它的应力范围的压力会碎瓷,所以不要咬太硬的食物,比如核桃一类的东西;再者镶牙初期与修复前相比,上下牙尖对位不同,要缓慢进食,以免咬伤颊舌粘膜;还有美容冠与基牙的接合处容易聚集菌斑,形成牙石,应注意清洁,牙缝间可用牙线自洁。
9. 认真执行医嘱。推荐阅读:3D仿生美容冠
中韩合作·唯美口腔3D仿生美容冠技术推荐
唯美“美容冠”技术具有美牙不拔牙,不伤牙齿、牙龈,无不良反应,多年后牙龈不易出现黑线等优点,全程无痛,高效快捷,采用德国3D齿雕系统,美容冠从取模--设计--制作-安装 到试戴整个安装过程,一气呵成,用时只需1小时。治疗后牙色真实自然,持久不变色,坚固耐磨,如按医嘱进行保养,可相伴终生。中韩合作·唯美口腔拥有精湛的技术团队,完备的就医环境,高度负责的工作态度,为每一位患者者量身打造康复方案,更多内容请点击在线咨询。
中韩合作·唯美口腔牙齿美容专家推荐

徐雅轩,国内知名CAM/CAD修复专家,精湛技术:牙齿矫正、牙齿美容修复、1小时德国西诺德CAD/CAM3D齿雕全瓷修复。毕业于南京医科大学口腔专业,长期从事口腔种植临床工作,在部队三甲医院工作多年,拥有多年深厚的口腔种植与研究经验。曾应邀参加瑞士ITI种植培训、德国西诺德3D齿雕培训,并出任多国种植集团特邀医师。其娴熟的种植技术和丰富的临床经验有机结合,注重从顾客的角度为出发点制定治疗方案,行医严谨,待人真诚,让广大缺牙顾客重新拥有完美的牙齿,深得顾客好评。
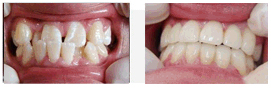
中韩合作·唯美口腔牙齿美容前后对比图

以上就是专家的介绍,中韩合作·唯美口腔是一家正规、高档的口腔医院具有先进一流的诊疗设备,专业实力的资深医生,实施无痛治疗,满足患者要求,以服务顾客为。唯美口腔真诚欢迎您的咨询和就诊。