影响美容冠使用寿命的因素有哪些?相信那些选择和准备选择美容冠的朋友都比较关心这个问题。郑州口腔专家就详细讲解一下影响美容使用寿命因素,以便广大爱美人士能够做出更好的选择,让美观的口腔一生相随。
影响美容冠使用寿命的因素:
,美容冠的使寿命与选择的美容冠类型有关。由于美容冠的类型分为高中低三个档次,一定美容冠类型越好的,其使用寿命就会越长。
第二,美容冠的使用寿命与手术过程有关。手术专家在手术的过程中应保证代型修整正确,具有良好的边沿及外形,基底冠制做过程保证质量。这样美容冠的使寿命才会久一点。
第三,美容冠的使用寿命与病例的选择有关。果基牙健康,咬合关系良好,而且病人的口腔卫生状况良好,那么美容冠固定桥的预后就有了一定的保证。牙体预备须保证一定的固位抗力形,而且要考虑到怎样爱护牙龈牙髓的健康。
第四,美容冠的使寿命与术后调理有关。美容冠手术后,要在医嘱中交待使用注意事项,如不能咬硬物等。这样美容冠寿命才能更长。后,在戴牙的时候要将咬合调整到正常,保证正中、前伸及侧方咬合无障碍,接触点正常等,这样美容冠的使寿命才会更长。推荐阅读:3D仿生美容冠
中韩合作·唯美口腔3D仿生美容冠技术推荐
唯美“美容冠”技术具有美牙不拔牙,不伤牙齿、牙龈,无不良反应,多年后牙龈不易出现黑线等优点,全程无痛,高效快捷,采用德国3D齿雕系统,美容冠从取模--设计--制作-安装 到试戴整个安装过程,一气呵成,用时只需1小时。治疗后牙色真实自然,持久不变色,坚固耐磨,如按医嘱进行保养,可相伴终生。中韩合作·唯美口腔拥有精湛的技术团队,完备的就医环境,高度负责的工作态度,为每一位患者者量身打造康复方案,更多内容请点击在线咨询。
中韩合作·唯美口腔牙齿美容专家推荐

徐雅轩,国内知名CAM/CAD修复专家,精湛技术:牙齿矫正、牙齿美容修复、1小时德国西诺德CAD/CAM3D齿雕全瓷修复。毕业于南京医科大学口腔专业,长期从事口腔种植临床工作,在部队三甲医院工作多年,拥有多年深厚的口腔种植与研究经验。曾应邀参加瑞士ITI种植培训、德国西诺德3D齿雕培训,并出任多国种植集团特邀医师。其娴熟的种植技术和丰富的临床经验有机结合,注重从顾客的角度为出发点制定治疗方案,行医严谨,待人真诚,让广大缺牙顾客重新拥有完美的牙齿,深得顾客好评。
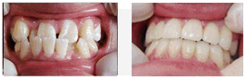
中韩合作·唯美口腔牙齿美容前后对比图

以上就是专家的介绍,中韩合作·唯美口腔是一家正规、高档的口腔医院具有先进一流的诊疗设备,专业实力的资深医生,实施无痛治疗,满足患者要求,以服务顾客为。唯美口腔真诚欢迎您的咨询和就诊。