用美容冠修复牙齿,不用拔牙也不会伤牙,而且效果也是相当好。这种技术在欧美国家已经广为流行。美容冠又分为全瓷和仿生两种,患者可根据自身需求自行选择。那么,全瓷美容冠和仿生美容冠的区别是什么呢?
全瓷美容冠和仿生美容冠的区别:
全瓷美容冠
全瓷美容冠是一种贵族式的美容方法,让你无论从外观上、还是性能上都会觉得它是无可挑剔的。全瓷美容冠有着比较好的透明度,专家能根据你牙齿的颜色调配出全瓷美容冠牙的颜色,这样做出来的牙齿就没有假假的感觉,仿佛这个牙齿是本来就有的,形态是很逼真的,因此,全瓷美容冠是一种很不错的修复牙齿的方法。全瓷美容冠并不是只有在外表形态上面有优势的,其次它的性能也有优势,它有着非常好的生物相容性,不会给你的口腔环境带来影响,它还具有比较坚硬的特定,因而不管怎样,不会给正常的咀嚼能力带来影响。
仿生美容冠
纳米仿生美容冠是一种专业的牙齿美容整形技术。它更多的融入了仿生设计理念,在注重牙齿美观的前提下更强调牙齿结构天然、完整,与口腔各部分的高度兼容,利用健康环保绝对无毒素残留的材质,塑造与真牙一样具有优良咀嚼机械性能的牙齿。是数十万计错位牙、畸形牙患者一直都认同的专业修复手段,与传统方式相比,纳米仿生美容冠具有不拔牙、无痛苦、牙齿坚固、多年后牙龈不出现黑线、与牙龈高度兼容,与真牙无二等优势。推荐阅读:3D仿生美容冠
中韩合作·唯美口腔3D仿生美容冠技术推荐
唯美“美容冠”技术具有美牙不拔牙,不伤牙齿、牙龈,无不良反应,多年后牙龈不易出现黑线等优点,全程无痛,高效快捷,采用德国3D齿雕系统,美容冠从取模--设计--制作-安装 到试戴整个安装过程,一气呵成,用时只需1小时。治疗后牙色真实自然,持久不变色,坚固耐磨,如按医嘱进行保养,可相伴终生。中韩合作·唯美口腔拥有精湛的技术团队,完备的就医环境,高度负责的工作态度,为每一位患者者量身打造康复方案,更多内容请点击在线咨询。
中韩合作·唯美口腔牙齿美容专家推荐

徐雅轩,国内知名CAM/CAD修复专家,精湛技术:牙齿矫正、牙齿美容修复、1小时德国西诺德CAD/CAM3D齿雕全瓷修复。毕业于南京医科大学口腔专业,长期从事口腔种植临床工作,在部队三甲医院工作多年,拥有多年深厚的口腔种植与研究经验。曾应邀参加瑞士ITI种植培训、德国西诺德3D齿雕培训,并出任多国种植集团特邀医师。其娴熟的种植技术和丰富的临床经验有机结合,注重从顾客的角度为出发点制定治疗方案,行医严谨,待人真诚,让广大缺牙顾客重新拥有完美的牙齿,深得顾客好评。
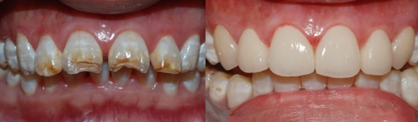
中韩合作·唯美口腔牙齿美容前后对比图

以上就是中韩合作·唯美口腔专家对的介绍,中韩合作·唯美口腔是一家正规、高档的口腔医院具有先进一流的诊疗设备,专业实力的资深医生,实施无痛治疗,满足患者要求,以服务顾客为。唯美口腔真诚欢迎您的咨询和就诊。