美容冠适合哪些症状?随着美容冠手术的热潮,很多人开始选择性的去改善美观自己的牙齿,但是也有一些失败的案例,原来美容冠手术也有一定的适应范围,那么,美容冠适合哪些症状?
一般情况下,牙齿接受美容冠修复,都能达到良好的外观效果,唯美口腔专家介绍说,做仿生美容冠适合症状有以下五种:
一、牙齿缺失;
二、牙齿颜色或形态不佳,如四环素牙、锥形小牙等;
三、牙列形态异常又不宜做正畸治疗的患者;
四、因外伤而折断的牙齿或残留的牙根;了解更多美容冠,点击在线咨询,直接与专家相互交流!
五、龋齿或牙齿缺损较大、牙齿变色呈灰色或黄褐色等,均可通过仿生美容冠恢复美观及增加强度。
中韩合作·唯美口腔牙齿美容技术推荐
3D美容冠它突破传统烤瓷牙的各种弊端,强调牙齿的美容效果,对错位牙、色素牙、畸形牙的临床冠部分施以专业手段,后用美牙冠加以修复。具有美牙不拔牙,无痛苦,时间短,牙齿坚固,只需一小时,还你整齐洁白牙齿。多年后牙龈不易出现黑线等优点,从而达到终身有保障的美容效果。推荐阅读:3D美容冠
中韩合作·唯美口腔牙齿美容专家推荐

莫三心教授,主任医师,硕士研究生导师。唯美口腔特邀专家,河南省口腔医学领域知名专家、郑州大学知名教授。精湛技术:牙齿种植、口腔修复、牙齿美容修复曾多次获得卫生部及省市各级表彰。主编多部并且参与编写多部国家医学教材,发表学术论文20余篇。擅于口腔修复,并涵盖口腔专业各个领域,可谓是大师级的口腔专家,在国内口腔界享有很高的声望。点击在线咨询,了解牙齿美容的优惠信息!在线预约可享更多优惠!
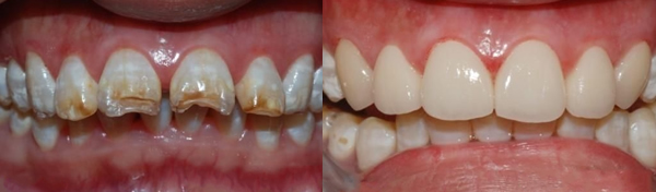
中韩合作·唯美口腔牙齿美容前后对比图

郑州牙科排名好的口腔医院温馨提示:牙齿美容一定要到正规的口腔医院,这样才能避免不必要的伤害,更多疑问,可以点击在线咨询,详细向在线专家详细咨询,一定可以给您一个满意的答复。