暴牙、虎牙、老鼠牙(个小牙)、地包天、前牙拥挤、前牙稀疏、牙列不齐、牙齿缺损、门牙有逢、烤瓷失败、以及重度四环素牙等牙齿问题让很多的人的美丽形象大打折扣,那么,现在口腔美容领域有没有好的技术能够完美解决上面的牙齿问题吗?美容冠,7天完美修复问题牙齿!成就美丽牙齿,还你靓丽人生!

郑州唯美口腔引进的美容冠是流行于欧美、日韩及台湾等地区的先进的美牙修复技术,经欧洲多家知名医学科研机构联手研发,采用德国VITA比色技术,国 际先进无痛技术和3D数码定位设计,美容冠系列开创了牙齿美学的新时代,将全瓷牙在外观、性能上的优势发挥到极致。唯美美容冠7天快速修复问题牙齿,安全、无痛、不拔牙、无需戴牙套,让你拥有明显般靓丽牙齿!
美容冠适用人群:

>>>点击免费咨询 详细了解美容冠是否适合你《《《
唯美美容冠五大独有优势:
1、美观大方:“美容冠”牙齿美容技术采用新数码科技,精确分析你的牙齿形态以及病症,再采用3D定位系统,由专业的美容牙医为你制定美牙方案,成形后的牙齿美观大方,像真牙一般不易分辨。
2、色泽自然逼真:引进国外比色技术,根据就诊者不同的牙色,通过29个牙色层次化类比,使成形后的牙齿达到完美的色调统一,天然逼真,常年保持美丽天然的光泽。
3、安全无痛:采用国外先进无痛技术,美牙不需动及牙根,彻底解除你爱美又怕痛的顾虑。整个过程在轻松的音乐中完成。
4、坚固持久:美容冠比传统的传统烤瓷牙更坚固,新科技的粘贴技术,终生不脱落。数据分析显示,经“美容冠”美容后的牙齿至少可以承受50公斤拉力。
5、高效快速:新科技成果的应用,只需7天时间就可轻松拥有一口靓牙。
美容冠和传统烤瓷牙技术都是牙齿修复矫正的技术手段,但是美容冠是在烤瓷牙基础上发展起来的,所以它不仅具备烤瓷牙的牙齿修复功能,而且更突出牙齿的美容功能,给患者更好的修复矫正体验。如果您觉得我们的文章没有解释的很清楚,或者还有其他疑问,您可以直接点击我们的在线咨询医生,我院专业咨询医生会给您耐心的,详细的解答,并给您一个满意的答复!
【美容冠与传统烤瓷牙技术对比优势】》》》点击了解美容冠烤瓷牙哪个更适合你《《《

唯美口腔美容冠在利用四维美牙系统、德国西诺德3D齿雕全瓷修复系统、芬兰普兰梅卡(Planmeca)三维口腔检测CT的协助下,全面检查通过数码定 位系统精确分析牙齿的形态,量身定制个性化的美牙方案,整个美容冠修复过程中3D数码定位设计,全程无痛,更采用德国采用德国VITA比色技术,美容冠颜 色自然逼真。
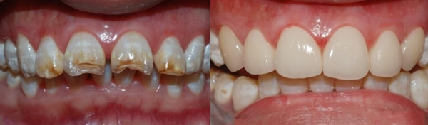
【郑州唯美口腔医院—美容冠案例】

郑州唯美牙齿缺损美容冠修复案例

郑州唯美口腔美容冠成功案例
》》》 点击这里了解更多经典案例《《《
唯美口腔专家团队:
郑州唯美口腔医 院以人才为依托,拥有一支由国内教授、博士、硕士组成的强大专家团队,医生,技师,护士等都是受过专业的培训,经验丰富,实力雄厚。同时邀请国际知名教 授、学科带头人客座临诊,充分了解顾客的病情和需求,设计出符合美学、医学、材料学、口腔力学的健齿美牙方案,耐心而负责的为顾 客提供个性化、高品质的 诊疗服务。

》》》点击这里了解更多专家团队《《《
》》》马上点击这里 免费咨询专家 与专家详细交流《《《
唯美口腔美容冠相关技术列表:
| 普通美容冠—原装进口瓷粉 | 镀金美容冠—烤瓷内冠里层和金属舌肩由德国24K纯金电镀 |
|
自然逼真的色泽,无异物;强度高,抗折性强,经济实惠。》》》免费咨询 |
金属表面颜色黄灿金亮,美观;隔绝金属与牙体组织和牙龈接触;提高生物相容性。》》》免费咨询 |
|
精品钴铬美容冠—不含镍金属、金属合金制作 |
高精纳米美容冠—原装进口纳米聚合瓷系统 |
|
耐用、强度高;不含放射性物质;有利于身体健康。》》》免费咨询 |
高采用PES填料与纳米填料;极高的生物相容性与稳定性;有天然牙的光透射和散射效果及荧光性和乳光效果;出色的抛光效果和抗菌斑性能。》》》免费咨询 |
| 一代全瓷美容冠—原装进口瓷粉 | 铸瓷美容冠—原装进口铸瓷系统 |
|
显著的美观效果,色泽酷似天然牙;无金属内冠,无过敏反应;生物相容性好;边缘密合度高,抗折力强;全瓷类产品中价格低。》》》免费咨询 |
色泽自然;比普通全瓷更加逼真、美观,通透性更好;不会形成牙龈灰线;对牙龈没有刺激;对光线的反射更接近天然牙。》》》免费咨询 |
| 数码全瓷美容冠—采用新科技数码3D定位技术 | 二氧化锆美容冠—先进进口系统制作 |
| 色泽逼真,接近天然牙;生物相容性好,精确度高。》》》免费咨询 |
显著的美学效果;绝无牙龈边缘发黄现象;技师与高精度切削机械的完美结合;精度更高,性能稳定;生物相容性极佳;超级强韧的材质;挠曲强度大于900mpa;极高水平的患者满意度。》》》免费咨询 |
温馨提示:如果您觉得我们的文章没有解释的很清楚,或者还有其他疑问,您可以直接点击我们网页右侧的免费在线咨询,我院专业咨询医生会给您耐心的,详细的解答,并给您一个满意的答复!