郑州哪个牙科做牙齿美容冠好

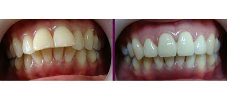
  郑州哪个牙科做牙齿美容冠好,深度着色牙齿的患者,不用发愁,美容冠来帮您治疗,下面请唯美口腔医院专家来为大家讲解一下,美容冠治疗深度着色牙齿的优势.快速不复发,安全有效,那么不少人就关心郑州哪个牙科做牙齿美容冠好,下面我们就一起去了解一下吧。
 
  郑州哪个牙科做牙齿美容冠好
 
  美容冠效果好不好郑州唯美口腔专家介绍, 美容冠是新美容设计学的重要成果,在牙齿的 "形态"、 " 色泽 " 、 " 功能 " 、 " 结构 " 、 " 相容 " 等各个方面完全比照人的真正牙齿,让美容冠和你的口腔完美融合.美容冠在美容冠美牙不拔牙、无痛苦、美牙时间短等各项基础优势上再次升级.采用高精度切削技术,精度更高,性能稳定,在口腔内更加舒适.材料选用德国进口原装瓷粉,具有极好的生物相容性,能够更出色的保护好牙龈.
 
  唯美金牌技术-----德国3D全瓷冠
 
  “3D美容冠”牙齿美容技术在流行于欧美、日韩的一种新兴牙齿美容技术,对错位牙、畸形牙的临床冠部分施以专业手段,后用3D美容冠加以修复。具有美牙不拔牙,无痛苦,时间短,牙齿坚固,多年后牙龈不会出现黑线等优点,从而达到终生有保障的美牙效果。推荐阅读<<<<郑州牙齿美容冠一颗大概多少钱
 
  郑州牙科医院排名郑州哪个牙科做牙齿美容冠好,首选郑州唯美口腔,郑州唯美口腔医院是省市区医保定点医疗机构,是中国口腔医学重点、健康中国诚信医院,牙齿美容特色医院。为数以万计中外朋友提供高质量医疗服务,不仅注重对医学技术精益求精,而且注重在医疗服务中充分体现人文关怀精神,树立以患者为中心的服务理念。广大患者可放心就诊。