兔牙怎么矫正效果好?门牙在人的口腔中很关键,相当于门户,如果过大,比如兔牙,会影响一个人的形象,让人看了很不舒服,而她们自己更是会因此而羞愧,性格越来越阴暗。那么,兔牙怎么矫正效果好?
其中,采用美容冠矫正兔牙是好的选择,美容冠矫正兔牙不仅效果好,还具有很多优点,包括:
1、兔牙选用美容冠进行修复采用无痛技术,美容后的牙齿恢复了口腔正常的发音且不需动及牙齿根部,保证良好的人体亲和性和口感舒适性,彻底解除您爱美又怕痛的顾虑。
2、兔牙选用美容冠进行修复咀嚼能力好。美容冠咀嚼时的力量作用在牙冠上,采用医学牙釉质相结合,足以承受咀嚼力,使牙冠比自然牙更坚固,终生不脱落。想要更多了解美容冠,点击在线咨询,直接与专家相互交流!
3、兔牙选用美容冠进行修复是通过电脑3D定位后,牙齿成形后美观大方,色泽洁白自然,不拔牙安全无痛,比正常牙齿更坚固,高效快速。矫治兔子牙过程仅需来院两次,只需7天时间就可轻松拥有一口靓牙。
4、兔牙选用美容冠进行修复牙齿色泽逼真。运用德国VITA比色技术,常年保持美丽天然的光泽,使成形后的牙齿达到完美的色阶统一。
中韩合作·唯美口腔牙齿美容技术推荐
3D美容冠它突破传统烤瓷牙的各种弊端,强调牙齿的美容效果,对错位牙、色素牙、畸形牙的临床冠部分施以专业手段,后用美牙冠加以修复。具有美牙不拔牙,无痛苦,时间短,牙齿坚固,只需一小时,还你整齐洁白牙齿。多年后牙龈不易出现黑线等优点,从而达到终身有保障的美容效果。推荐阅读:3D美容冠
中韩合作·唯美口腔牙齿美容专家推荐

莫三心教授,主任医师,硕士研究生导师。唯美口腔特邀专家,河南省口腔医学领域知名专家、郑州大学知名教授。精湛技术:牙齿种植、口腔修复、牙齿美容修复曾多次获得卫生部及省市各级表彰。主编多部并且参与编写多部国家医学教材,发表学术论文20余篇。擅于口腔修复,并涵盖口腔专业各个领域,可谓是大师级的口腔专家,在国内口腔界享有很高的声望。点击在线咨询,了解牙齿美容的优惠信息!在线预约可享更多优惠!
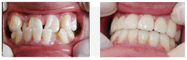
中韩合作·唯美口腔牙齿美容前后对比图

温馨提示:门牙大不是什么坏事,可是如果过大,还是及时矫正的好,中韩合作·唯美口腔医院是一家实力雄厚,技术精湛的专业口腔医院,是您做牙齿矫正的佳选择!