全瓷牙因效果显著、优点突出,受到相当一部分消费者的欢迎。消费者在选择全瓷牙修复牙齿之前,就不得不考虑它的价格了。全瓷牙价格的影响因素有哪些呢?下面就看看专家对全瓷牙价格影响因素的详细介绍。
全瓷牙价格的影响因素:
一、制作材料:全瓷烤瓷牙制作的材料不一样,可以分为氧化铝全瓷烤瓷牙、二氧化锆全瓷烤瓷牙、铸造全瓷烤瓷牙等。全瓷烤瓷牙有一个主要的特点就是由陶瓷材料组成的,没有一点金属的材料,这三种材料虽然组成的全瓷烤瓷牙有着一样的共性,但是组成的材料是不一样的,所以说不同的求美者选择不同材料的全瓷烤瓷牙的价格就不同了。
二、修复数量:修复全瓷烤瓷牙的个数也是会影响全瓷烤瓷牙价格的,不同的求美者有着不一样的需求,自然修复的个数是不能一致的,所以这也是一大影响全瓷烤瓷牙一般要多少钱的主要因素。
三、医院设施:全瓷烤瓷牙的医院也会影响全瓷烤瓷牙一般要多少钱,医院的设施、环境以及制作全瓷烤瓷牙的技术都是会对全瓷烤瓷牙的价格有所影响的。推荐阅读:3D全瓷牙
中韩合作·唯美口腔牙齿美容技术推荐
中韩合作·唯美口腔拥有的3D全瓷牙采用国际实力的氧化锆材料,运用先进的CT三维数字扫描技术、电脑智能CAD/CAM系统设计,在短时间内根据患者的口腔条件、脸型、肤色,量身定做个性化全瓷牙修复美容方案。3D全瓷牙拥有完美的精密度;具有真牙相匹配的透光性,色泽逼真,可媲美自然牙;良好的生物相容性,对牙龈无刺激;强度绝佳,强度超出真牙,拥有卓越的咬合力量,无不良金属离子渗出,磨牙较少,更大程度地保留原有的牙齿组织,所以能达到佳的美齿效果及与软组织的舒适接触。点击在线咨询,了解全瓷牙的优惠活动,在线预约可享更多优惠!
中韩合作·唯美口腔牙齿美容专家推荐

莫三心教授,主任医师,硕士研究生导师。唯美口腔特邀专家,河南省口腔医学领域知名专家、郑州大学知名教授。精湛技术:牙齿种植、口腔修复、牙齿美容修复曾多次获得卫生部及省市各级表彰。主编多部并且参与编写多部国家医学教材,发表学术论文20余篇。擅于口腔修复,并涵盖口腔专业各个领域,可谓是大师级的口腔专家,在国内口腔界享有很高的声望。
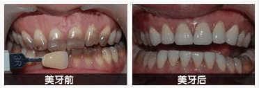
中韩合作·唯美口腔全瓷牙修复前后对比图

温馨提示:如果您觉得我们的文章并没有解释得很清楚,或有其他问题,您可以点击我们的在线咨询专家。中韩合作·唯美口腔会给您一个专业的分析,详细的解答,并给您一个满意的答复!