全瓷牙价格是多少?一口好的牙齿是我们良好胃口的保障,也是我们健康口腔的基础条件。所以当牙齿出现问题的时候,我们要及时的进行修复。全瓷牙是目前修复牙齿的佳选择,那么全瓷牙价格是多少呢?
全瓷牙价格是多少
中韩合作·唯美口腔的专家介绍说,全瓷牙是在普通烤瓷牙基础上建立起来的,与传统烤瓷牙相比,全瓷牙的内冠,是一种透明的骨架,由于无金属基底结构,不透金属色,所以色泽自然,层次感强,透明效果理想,而且对牙龈没刺激,安全可靠,稳定性强。全瓷牙价格受多重因素影响,主要有以下几点:
一、全瓷牙价格受全瓷牙材料的影响。就像铸瓷冠、二氧化锆全瓷牙、氧化铝全瓷牙等,它们都是属于全瓷牙家族,却因为构成自身的材质不同,这样全瓷牙价格就有一定的差异。
二、全瓷牙价格受做全瓷牙的医院的影响。全瓷牙价格与所选的全瓷牙的医院所有关,上海口腔医院全瓷牙是通过计算机辅助设计、激光扫描,由计算机程序控制研磨制作成基底冠,再由饰面瓷粉进行饰面而成的,具有强硬和完美逼真的色彩效果,受到了人们的青睐。
三、全瓷牙价格受全瓷牙医生的影响。全瓷牙价格还受所选择的医生来决定的,中韩合作·唯美口腔已拥有多年各类全瓷修复系统制作的丰富临床经验,专业的医师会为你量度定制符合你脸型和肤色的美丽而个性牙齿。推荐阅读:3D全瓷牙
牙齿美容技术推荐——3D全瓷牙
中韩合作·唯美口腔拥有的3D全瓷牙采用国际实力的氧化锆材料,运用先进的CT三维数字扫描技术、电脑智能CAD/CAM系统设计,在短时间内根据患者的口腔条件、脸型、肤色,量身定做个性化全瓷牙修复美容方案。3D全瓷牙拥有完美的精密度;具有真牙相匹配的透光性,色泽逼真,可媲美自然牙;良好的生物相容性,对牙龈无刺激;强度绝佳,强度超出真牙,拥有卓越的咬合力量,无不良金属离子渗出,磨牙较少,更大程度地保留原有的牙齿组织,所以能达到佳的美齿效果及与软组织的舒适接触。点击在线咨询,了解牙齿美容的优惠信息!在线预约可享更多优惠!
中韩合作·唯美口腔牙齿美容专家推荐

莫三心教授,主任医师,硕士研究生导师。唯美口腔特邀专家,河南省口腔医学领域知名专家、郑州大学知名教授。精湛技术:牙齿种植、口腔修复、牙齿美容修复曾多次获得卫生部及省市各级表彰。主编多部并且参与编写多部国家医学教材,发表学术论文20余篇。擅于口腔修复,并涵盖口腔专业各个领域,可谓是大师级的口腔专家,在国内口腔界享有很高的声望。
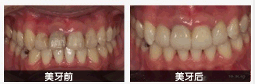
中韩合作·唯美口腔牙齿美容前后对比图

通过以上的介绍,相信您对这一问题已经有了更深的了解,中韩合作·唯美口腔专家指出,牙齿修复一定要到正规医院进行,以免由于手术不当而给自身造成终身遗憾。如果您还有其他问题,可以在线咨询专家,专家会为您做出耐心的解答。