门牙缺失做种植牙好不好?牙齿的缺失对于我们的口腔健康来讲,将面临很大的危害,健康警报已响,那我们就要将其解决。而且门牙的缺失让会让我们的形象受到严重的危害,种植牙是修复牙齿缺失好的方法,那么门牙缺失做种植牙好吗?
中韩唯美口腔专家介绍:种植牙技术可谓是人类的第三副牙齿,是通过医学方式,将与人体骨质兼容性高的纯钛金属经过精密的设计,制造成类似牙根的圆柱体或其他形状,以外科小手术的方式植入缺牙区的牙槽骨内,在人工牙根上制作美牙冠冠。因不具破坏性,种植牙已被口腔医学界公认为缺牙的理想修复方式。
专家表示,患者选择门牙修复体,一般情况下不仅要考虑修复体的实用性,而且对其美观性也有很高的要求,因此门牙做种植牙修复是再合适不过的了。
门牙做种植牙修复有着以下的优势
1、舒适:患者普遍认为种植牙没有异物感。由于不需要活动假牙必备的基托与卡环,没有大面积基托导致的味觉迟钝与不舒适感,种植牙在口腔里的感觉比传统的修复技术更舒适。
2、感觉自然:种植完成后牙齿感觉跟天然牙一样。
3、清洁方便:因为种植牙是仿自然牙,所以清洁种植牙就跟清洁自然牙一样,不像传统的活动假牙需要摘下来进行清洗。与邻牙间保存有自然间隙,可以用牙线进行清洁,而固定桥则需特殊的牙线才能清洁到假牙的邻面。
4、坚固持久:因为是植入在牙槽骨上,种植牙较为坚固稳定,这一优点在进食和说话时尤其突出。种植牙的失败率低于人类自身牙齿的失牙率。推荐阅读:亲骨超导种植技术
亲骨超导种植技术,让您的新牙悄然长出来
中韩唯美口腔独家引进的亲骨超导即刻种植是采用普兰梅卡口腔全景机进行3D口腔CT成像,根据自身牙体骨骼或以自身骨组织系数来定制骨粉,比起传统的人造骨粉,更加精确无误,而且生物相容性更好、更稳定牢固、愈合更迅速。由于3D口腔CT成像的直接应用,使亲骨种植技术成功率大大的提高了,并象征着口腔种植领域的发展,迈出了革命性的一步。点击在线咨询,了解种植牙的优惠信息!在线预约可享更多优惠!
中韩唯美口腔牙齿种植专家推荐

郑淳奎,口腔颌面外科硕士、口腔修复医学博士。精堪技术:种植牙修复。毕业于韩国首尔大学牙医学院,1995年赴瑞典皇家学院口腔医学院、美国华盛顿大学口腔医学院求学,先后获得了口腔颌面外科硕士、牙周病学硕士、口腔修复医学博士等学位。回国后将韩国整形医学与德国CEREC 3D数字齿雕系统结合,革新了口腔美容设计的传统治疗方法,获韩国齿周科学会新人学术奖及保健福利部长官奖。2000年又赴德国深造普士即刻种植牙技术,并成为位为德国人实施种植手术的亚洲专家。对各种种植修复技术有很深的造诣,先后在日本齿周科学会、日本齿科学会发表论文,获大韩齿周科学会新人学术奖,获韩国保健福利部长官奖,在韩国牙科界享有很高的美誉。
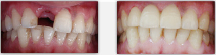
中韩唯美口腔牙齿种植前后对比图

如果您觉得我们的文章没有解释的很清楚,或者还有其他疑问,您可以直接点击我们的在线咨询医生,中韩唯美口腔专业咨询医生会给您耐心的,详细的解答,并给您一个满意的答复!