隐形牙齿矫正的劣势有哪些?如今社会对人的形象的要求越来越高,不管是日常生活,还是平时工作,都需要改善自身形象,特别是牙齿畸形患者,牙齿矫正非常有必要。牙齿矫正有很多方法,隐形牙齿矫正虽然很适合日常的形象的保持,但是也有一些不得不注意的劣势。那么隐形牙齿矫正的劣势有哪些?
隐形牙齿矫正的治疗劣势:
1、牙颌畸形比较严重的病例现阶段还不能达到非常理想的矫正目标。
2、骨性错合畸形矫正效果不理想。
3、患者依从性不高的话会影响矫正效果,没有按时佩戴定期更换矫正器,矫正效果会不理想或者矫正时间延长。了解牙齿矫正器,点击在线咨询,与专家详细咨询!
中韩合作·唯美口腔牙齿矫正技术推荐
中韩合作·唯美口腔引进的韩式四维隐形正畸技术继承了传统的牙颌畸形矫治的理念,是现代口腔医学、计算机辅助四维诊断、个性化设计及数字化成型技术的完美结合,是正畸领域的新突破。韩式四维隐形正畸由知名专家坐诊,实现全程无痛无创快速疗法,专门治疗各种牙齿排列不整齐,咬合错位等牙齿形态问题,还你一口整齐、坚固耐用的健康原牙。
韩式四维隐形正畸技术是完全个性化的设计理念,可根据正畸者的情况佩带不同的矫治器,完全不影响正畸者的生活。具有隐形高效,稳定美观的特点,并且大大地缩短了疗程,使治疗时间缩短近三分之一,复诊时间缩短二分之一,为正畸者大大节省了时间,透明韩式四维隐形正畸矫正矫治器厚度不到1mm,透明、光滑、舒适,无异物感和粘膜刺激,是目前受欢迎和信赖的美齿项目。推荐阅读:韩式隐形正畸
中韩合作·唯美口腔牙齿矫正专家推荐

李玉如,口腔正畸科。副教授,副主任医师,硕士生导师,口腔医学正畸专业硕士。1991年毕业于中山医科大学口腔系,一直从事口腔正畸的临床、教学和科研工作,临床经验丰富,并注重知识的学习更新,2004年硕士学位毕业。擅长正畸科各类牙颌畸形及疑难病例的矫治,对青少年反牙合、开牙合、功能性矫治、阻生牙的导萌牵引及成年人牙颌畸形、牙周病的正畸治疗有良好的疗效。点击在线咨询,了解牙齿矫正的优惠信息!在线预约可享更多优惠!
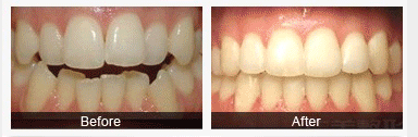
中韩合作·唯美口腔牙齿矫正前后对比图

温馨提示:如果您对口腔方面还有其他疑问,可直接向我们中韩合作·唯美口腔医院的在线专家免费咨询!专家届时会针对您的问题,给出专门个人的诊疗方案。欢迎点击在线咨询。