人们在交往过程中,眼往往注意到的是对方的面容,因此面容好坏决定着别人对你的印象。很多人由于牙齿拥挤不齐,面部也有稍微的畸形,治病还要从根部抓起,牙齿矫正是解决牙齿不齐的有效手段,那么牙齿矫正需要多少花费?
牙齿拥挤不齐对咀嚼食物有很大影响,长期不清洁牙齿口腔很容易引起口腔炎症,因此,牙齿不齐一定要及时矫正,牙齿矫正的价格一般受以下三个方面影响。
一、患者选择的医院:医院规模如何是其实力的体现,正规专业的牙科医院由于投入的软硬件设施都是比较先进的,在成本上是会有所增加的矫正牙齿的价格当然也会比一般小诊所来的贵。
二、患者口腔情况:一般情况下,每个人的牙齿都有自己的特别之处,牙齿畸形的程度有时也是有很大差异的,这就导致了矫正牙齿难易程度的差别,自然矫正价格也不一定了。了解牙齿矫正,点击在线咨询,直接与专家一对一交流,详细咨询!
三、矫正牙材料:隐形矫正牙齿的材料也是可以有很多种选择的,患者可以根据自身的牙齿情况以及经济情况作出适合自己的选择,患者所用的隐形整牙材料,效果也会有一定的区别,那矫正牙齿的收费标准也不能是同一个了。
中韩合作·唯美口腔牙齿矫正技术推荐
中韩合作·唯美口腔引进的韩式四维隐形正畸技术继承了传统的牙颌畸形矫治的理念,是现代口腔医学、计算机辅助四维诊断、个性化设计及数字化成型技术的完美结合,是正畸领域的新突破。韩式四维隐形正畸由知名专家坐诊,实现全程无痛无创快速疗法,专门治疗各种牙齿排列不整齐,咬合错位等牙齿形态问题,还你一口整齐、坚固耐用的健康原牙。推荐阅读:韩式隐形正畸
中韩合作·唯美口腔牙齿矫正专家推荐

李玉如,口腔正畸科。副教授,副主任医师,硕士生导师,口腔医学正畸专业硕士。1991年毕业于中山医科大学口腔系,一直从事口腔正畸的临床、教学和科研工作,临床经验丰富,并注重知识的学习更新,2004年硕士学位毕业。擅长正畸科各类牙颌畸形及疑难病例的矫治,对青少年反牙合、开牙合、功能性矫治、阻生牙的导萌牵引及成年人牙颌畸形、牙周病的正畸治疗有良好的疗效。点击在线咨询,了解牙齿矫正的优惠信息!在线预约可享更多优惠!
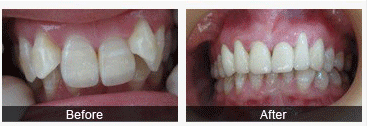
中韩合作·唯美口腔牙齿矫正前后对比图

温馨提示:做牙齿矫正手术,一定要到正规、专业的口腔医疗机构,这样才更有保障。如果您有更多未解决的疑问,可点击中韩合作·唯美口腔的在线咨询,给您详细的解答。想要整齐美观的牙齿,重拾美好记忆,中韩合作·唯美口腔是您好的选择。