传媒学院的大二女生小琳早早做好了自己的人生规划,想做一名成功的主持人。但深怕牙列不齐又严重影响了她的个人形象。如果现在开始做牙齿矫正,毕业之后正好可以实现牙齿的华丽转变。但还是学生的小琳不免担忧隐形牙套的价格是多少呢?
隐形牙套的价格:
一,患者的口腔状况,每个患者口腔的情况会有所差异,若是有口腔疾病还需要先进行口腔疾病的治疗,而且牙齿畸形的程度也会有所不同,这就导致了隐形牙齿矫正器难易程度的差异,价格也就会有所不同。
二,患者所在的地区,各个地区之间的消费水平不同,在消费观的差异性,所以在不同的地区进行隐形牙齿矫正器治疗费用就会不同了。
三,患者选择的医生,患者即使是在一家医院进行手术,选择的医生不同,价格也是不一样的,临床经验丰富的老医生和没有经验的医师相比,隐形牙齿矫正器的质量及安全都是会有差异的
四,患者所选择的医院,正规的牙科机构和一般的口腔门诊相比,医院的软件和硬件设施不同,正规的口腔医院不仅有先进的医疗设施,还有很多技术高超的专家坐诊,而一般的小诊所技术及设备都不能达到要求,所以隐形牙齿矫正的价格当然也不同的。推荐阅读:韩式隐形正畸
中韩合作·唯美口腔韩式隐形正畸技术推荐
唯美口腔引进的韩式隐形正畸技术继承了传统的牙颌畸形矫治的理念,是现代口腔医学、计算机辅助四维诊断、个性化设计及数字化成型技术的完美结合,是正畸领域的新突破。韩式隐形正畸由中韩齿科专家联合坐诊,实现全程无痛无创快速疗法,专门治疗各种牙齿排列不整齐,咬合错位等牙齿形态问题,还你一口整齐、坚固耐用的健康原牙。该技术是完全个性化的设计理念,可根据正畸者的情况佩带不同的矫治器,完全不影响正畸者的生活。具有隐形高效,稳定美观的特点,并且大大地缩短了疗程,使治疗时间缩短近三分之一,复诊时间缩短二分之一,为正畸者大大节省了时间,透明隐形正畸矫正矫治器厚度不到1mm,透明、光滑、舒适,无异物感和粘膜刺激,是目前受欢迎和信赖的美齿项目。点击在线咨询,了解牙齿矫正的各项优惠活动,在线预约可享更多优惠!
中韩合作·唯美口腔牙齿矫正专家推荐

李玉如,口腔正畸科。副教授,副主任医师,硕士生导师,口腔医学正畸专业硕士。1991年毕业于中山医科大学口腔系,一直从事口腔正畸的临床、教学和科研工作,临床经验丰富,并注重知识的学习更新,2004年硕士学位毕业。擅长正畸科各类牙颌畸形及疑难病例的矫治,对青少年反牙合、开牙合、功能性矫治、阻生牙的导萌牵引及成年人牙颌畸形、牙周病的正畸治疗有良好的疗效。
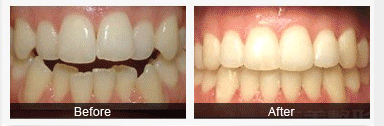
中韩合作·唯美口腔牙齿矫正前后对比图

温馨提示:如果您觉得我们的文章并没有解释得很清楚,或有其他问题,您可以点击我们的在线咨询专家。中韩合作·唯美口腔会给您一个专业的分析,详细的解答,并给您一个满意的答复!