牙齿矫正后怎样护理牙齿?对于牙齿畸形,牙齿矫正是非常有效的修复手段,一般通过矫正设备协调面部及牙齿口腔的平衡,改善个人的形象美观,矫正手术后有一段护理的过程,那么,牙齿矫正后怎样护理牙齿?
一般情况下,牙齿矫正后的护理有以下几种方法:
1、方法一:在佩戴矫正器后会妨碍刷牙,如果刷牙没到位的话牙齿就容易残留食物,会引起细菌大量繁殖,导致龋齿或牙周组织炎症,影响到矫正过程。因此需要细心护理牙齿,做到每餐饭后认真刷牙,或用水和茶水漱口。
2、方法二:牙齿矫正期间,要认真护理牙齿上的矫正器,避免吃过硬的食物,防止因为饮食不当导致矫正器的附近松脱。
3、方法三:矫正前几天,患者的牙齿会有酸软的感觉和不适感,这时候好吃些较软的食物或是粥类的食物,等一周后适应期过了就可以正常饮食。了解更多牙齿矫正,点击在线咨询,直接与专家相互交流!
4、方法四:如果矫正的是儿童,还要尽量减少吃零食和糖果的习惯,尤其是口香糖,因为口香糖一旦粘在矫正器上就难以清除,而且为了防止矫正期间蛀牙,还要尽量少吃甜食。
中韩合作·唯美口腔牙齿矫正技术推荐
韩式四维隐形正畸技术是完全个性化的设计理念,可根据正畸者的情况佩带不同的矫治器,完全不影响正畸者的生活。具有隐形高效,稳定美观的特点,并且大大地缩短了疗程,使治疗时间缩短近三分之一,复诊时间缩短二分之一,为正畸者大大节省了时间,透明韩式四维隐形正畸矫正矫治器厚度不到1mm,透明、光滑、舒适,无异物感和粘膜刺激,是目前受欢迎和信赖的美齿项目。推荐阅读:韩式隐形正畸
中韩合作·唯美口腔牙齿矫正专家推荐

李玉如,口腔正畸科。副教授,副主任医师,硕士生导师,口腔医学正畸专业硕士。1991年毕业于中山医科大学口腔系,一直从事口腔正畸的临床、教学和科研工作,临床经验丰富,并注重知识的学习更新,2004年硕士学位毕业。擅长正畸科各类牙颌畸形及疑难病例的矫治,对青少年反牙合、开牙合、功能性矫治、阻生牙的导萌牵引及成年人牙颌畸形、牙周病的正畸治疗有良好的疗效。点击在线咨询,了解牙齿矫正的优惠信息!在线预约可享更多优惠!
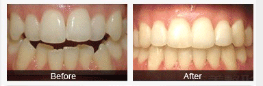
中韩合作·唯美口腔牙齿矫正前后对比图

温馨提示:以上内容是关于矫正术后护理方法的介绍,牙齿畸形一定要早发现,早诊治,这样才能避免更多对身体健康的危害,更多相关信息,可以通过点击中韩合作·唯美口腔的在线咨询,由在线专家给出专业、实力的解答。