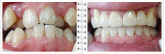
牙齿矫正的更佳年龄是多久

  牙齿矫正的佳年龄是多久, 一口整齐的牙齿能够让您肆无忌惮的笑,也能给自己树立自信心。不过目前有很多人被牙齿的不整齐所困扰,所以大家很多人选择进行牙齿矫正,但是大家想问,牙齿矫正的佳年龄是多久,那么下面我们就一起去了解一下吧。
 
  牙齿矫正的佳年龄是多久
 
  牙齿矫正费用郑州唯美口腔专家介绍,一般而言,牙齿矫正治疗时间为一年半到两年左右。但受一些因素影响,牙齿矫正时间长短因人而异。牙齿矫正治疗期间约每3至6星期看诊一次,次装上矫正器及每次调整后,会有2至5天牙齿感觉酸痛无力,无法咬硬的东西,过了2至5天就会完全恢复正常,不舒服的天数视个人体质及年纪而定,通常年纪愈小,不舒服的天数愈短,随着每次调整,越来越适应后,不舒服的情况会越来越少。
 
  郑州唯美口腔专家介绍,虽然成年人错过了青春快速生长发育期这一佳牙齿矫正治疗时机,但并不能说就一定过了佳牙齿矫正期。只要身体健康,无全身疾病,无龋齿、牙周病等,便可进行成人牙齿矫正治疗。如有上述疾病,经医生治疗,消除症状处于稳定期仍可以进行成人牙齿矫正。虽然成人颌骨改建及牙齿移动速度较儿童慢,但是由于成人合作程度高,治疗目标明确,受生长发育等不确定因素影响小,一样可以取得非常好的治疗效果。推荐阅读<<<郑州哪里整牙比较好
 
  郑州牙科医院郑州唯美口腔医院是医保定点医疗机构,不仅注重对医学技术精益求精,而且注重在医疗服务中充分体现人文关怀精神,树立以患者为中心的服务理念。中韩专家强强联手、联袂在郑州唯美口腔亲诊,为郑州市民口腔健康把脉,提供高标准的诊疗方案,短时间内、小伤害实现理想的口腔修复,塑造唯美口腔钻石品质。广大患者可放心就诊。