25岁还可以矫正牙齿吗

  25岁还可以矫正牙齿吗?矫正是一项很成熟的技术,有一百多年的历史,如果做矫正的话,差不多是一年半到两年左右的时间,之后自己的牙齿就会是整齐漂亮的。那么很多人问25岁还可以矫正牙齿吗,那么下面我们就一起去了解一下吧。
 
  25岁还可以矫正牙齿吗
 
  郑州好的牙齿矫正医院郑州唯美口腔专家介绍,成人牙齿矫正费用高低取决于求美者想要达到的治疗目标。这一点限定了牙齿矫正治疗的难度和疗程。不难理解,成人牙齿矫正的费用与难度和疗程是呈正相关的。成人牙齿矫正费用与求美者所使用的矫正方法和矫正器有关。牙齿矫正医生会根据求美者的错颌情况选择合理的牙齿矫正方法,不同的牙齿矫正方法费用不同,技术含量高的牙齿矫正费用也高;然后医生再结合求美者的经济情况为其选择合适费用的矫治器,如国产矫治器物美价廉,进口矫治器虽贵却精确高效。推荐阅读<<<,什么样的牙齿需要做牙齿矫正
 
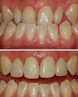
  郑州唯美口腔专家介绍,牙齿矫正包括范围较广,通常是指通过口腔技术手段,修整牙齿排列不齐、牙齿形态异常、牙齿色泽异常的治疗过程。牙齿矫正有多种方法,如树脂贴面、瓷贴面、烤瓷牙、正畸等等,要根据个人的牙齿实际情况、牙颌畸形种类等,再综合个人要求选择治疗方法,每种方法各有优缺点,不同人各有偏好,需要在检查时和医生直接交流确定方案。主要分功能性矫正和美学矫正。
 
  郑州牙科医院郑州唯美口腔医院是医保定点医疗机构,全国中韩合作种植中心落户唯美,国际口腔医疗专家加盟签约。业内人士透露,此次国际专家的联盟预示着郑州口腔诊疗水平得到整体提高,撬动郑州口腔领域的全面发展,与世界水平紧密接轨,市民将“足不出户”享受国内外知名的口腔医疗服务。不仅注重对医学技术精益求精,而且注重在医疗服务中充分体现人文关怀精神,树立以患者为中心的服务理念。望广大患者放心就诊。