大牙磨损如何治疗?随着牙齿使用频率的增加或者是对牙齿没有做好周到的护理,则会出现牙齿磨损的状况,牙齿磨损之后若是不能得到及时的治疗,其极易引起口腔疾病的滋生,危害我们的健康。那么大牙磨损如何治疗呢?
中韩合作·唯美口腔专家介绍:牙齿磨损是指主要由机械摩擦作用造成的牙体硬组织渐进性丧失的疾病。在正常生理咀嚼过程中,随年龄的增长,牙齿咬合面和邻面由于咀嚼作用而发生的均衡的生理性的硬组织丧失称为生理性磨耗。
牙齿磨损的危害
1、牙齿磨损从表面向深层进行,在牙外表发生变化以的同时陆续出现不同的并发症。
2、釉质部分磨损,露出黄色牙本质或出现小凹面。当釉质全部磨损后,咬合面除了周围环以半透明的釉质外,均为黄色光亮的牙本质。一些磨损快、牙本质暴露迅速的病例可出现牙本质过敏症。
3、磨损达牙本质中层后,牙髓可因长期受刺激而发生渐近性坏死或髓腔闭锁。牙本质继续迅速磨损,可使髓腔暴露引起牙髓病和根尖周病。
4、因磨损不均还可形成锐利的釉质边缘和高陡牙尖,如上颌磨牙颊尖和下颌磨牙舌尖,使牙齿在咀嚼过程受到过大的侧方咬合力,产生咬合创伤;或因磨损形成充填式牙尖造成对牙齿食物嵌塞,发生龈乳头炎,甚至牙周炎;过锐的牙尖和边缘还可能刺激颊、舌侧粘膜,形成黏膜白班或褥疮性溃疡。
5、全口牙齿磨损严重,牙冠明显变短,颌间距离过短可出现关节后压迫症状,并导致颞下颌关节病变。更多牙齿磨损所产生的危害,可点击在线咨询,与专家直接对话!
而大牙的磨损不只是会造成以上的问题,还会给我们的形象问题造成不利的影响,所以若是大牙出现磨损更应该及时的进行治疗。
牙齿磨损的修复方法
中韩合作·唯美口腔引进的全瓷牙和美容冠都有修复牙齿磨损的功能,并能够取得良好的修复效果,主要是由于存在以下优势:
全瓷牙
全瓷牙很轻薄:不会感觉到很厚重,更不会出现牙龈发黑出血红肿等现象,自然犹如自生。
美观逼真:治疗后的牙齿的颜色可以和真牙颜色一样,而且永久不变色,在外人看来会跟真牙一样。
不会造成磨损:烤瓷冠的硬度大于牙釉质,可造成对颌牙的磨损。而全瓷牙的硬度与牙釉质近似,不对颌牙造成磨损。
良好的封闭性:全瓷牙具有良好的封闭性,如果你使用的是全瓷牙,那么就完全不用担心真牙会与假牙冠密封性不够,全瓷牙在这方面独具优势。具体的全瓷牙适应症状,点击在线咨询与专家进行直接对话!
高轻度的咀嚼力:虽然,全瓷牙不能过度的使用硬度过高的食物,比如核桃之类的硬壳类物质,但是一般的食物还是完全没有问题的,所以不用特别担心全瓷牙会崩坏。
内外冠结合:金属和瓷的结合是薄弱的一环,经常可以见到瓷和金属剥离,露出灰黑的金属的情况。全瓷牙则是内外冠都是瓷,瓷和瓷的结合不会出现这种情况。
所需时间短:做全瓷牙很方便,一般的一个星期的时间即可完成,只需要就诊两次,在次时把牙体准备好,第二次安装。推荐阅读:3D全瓷牙
美容冠
美容冠具有美牙不拔牙,无痛苦,时间短,牙齿坚固,多年后牙龈不会出现黑线等优点,从而达到终生有保障的美牙效果。
1. 美观大方。“美容冠”牙齿美容技术采用新数码科技,精确分析你的牙齿形态以及病症,再采用3D定位系统,由专业的美容牙医为你制定美牙方案,成形后的牙齿美观大方,像真牙一般不易分辨。
2. 色泽逼真。引进国外比色技术,根据就诊者不同的牙色,通过29个牙色层次化类比,使成形后的牙齿达到完美的色调统一,天然逼真,常年保持美丽天然的光泽。
3.不拔牙安全无痛。南京华美采用先进的无痛技术,美牙不需动及牙根,彻底解除你爱美又怕痛的顾虑。整个过程在轻松的音乐中完成。
4. 比正常牙齿更坚固。“美容冠”比旧时代的传统烤瓷牙更坚固,新科技的粘贴技术,终生不脱落。数据分析显示,经“美容冠”美容后的牙齿至少可以承受50公斤拉力。
5. 高效快速。新科技成果的应用,只需1小时就可轻松拥有一口靓牙,中韩合作唯美口腔美容冠不仅让你有亮白的牙齿,更能够保证好的微笑曲线。
中韩合作·唯美口腔引进的全瓷牙和美容冠技术采用的是口腔界非常先进的数码科技,这种技术可以非常精确的分析牙齿的整个形态,并且可以根据牙齿的牙冠,牙颈和牙根这三个部位的形态,解决3D的定位系统,由专业的美容冠的专家为每一位朋友做无二的美牙方案!点击在线咨询,与专家直接对话进行了解!
中韩合作·唯美口腔牙齿修复专家推荐

莫三心教授,主任医师,硕士研究生导师。唯美口腔特邀专家,河南省口腔医学领域知名专家、郑州大学知名教授。精湛技术:牙齿种植、口腔修复、牙齿美容修复曾多次获得卫生部及省市各级表彰。主编多部并且参与编写多部国家医学教材,发表学术论文20余篇。擅于口腔修复,并涵盖口腔专业各个领域,可谓是大师级的口腔专家,在国内口腔界享有很高的声望。
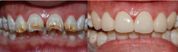
中韩合作·唯美口腔牙齿修复前后对比图

如果您还有想要了解的情况,可以点击我们的在线咨询,中韩合作·唯美口腔在线专家会给您专业,详细的解答,或是拨打我们的24小时康复热线,与专家一对一详解,通过网络预约还将享受一定的优惠!