烤瓷牙修复后能不能洗牙
烤瓷牙修复后能不能洗牙

烤瓷牙修复后能不能洗牙,烤瓷冠可以很好的恢复牙齿的形态功能,近年来很多牙齿有瑕疵的人通过烤瓷牙找回了自己的自信和完美,但也有很多人因为不懂得如何护理烤瓷牙而有所遗憾。部分爱美朋友还想要保证口腔的健康,... ...

钛合金烤瓷牙好吗
钛合金烤瓷牙好吗

钛合金烤瓷牙好吗,随着社会的发展,烤瓷牙以其美观坚固的修复效果,已经成为人们牙齿修复公认最为理想的修复方式。但是,随着医疗技术的发展,目前烤瓷牙的种类众多,烤瓷牙选用的材料不同,工艺不同,修复效果也就... ...

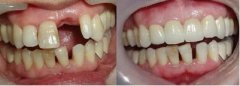
牙齿缺失,“镶牙”莫失良机
牙齿缺失,“镶牙”莫失良机

牙齿缺失,“镶牙”莫失良机!在日常生活中,由于某种原因会导致牙齿出现缺失的现象,牙齿缺失对患者口腔有很大影响,不仅影响饮食,同时也威胁人们的口腔健康。牙齿缺失现在镶牙技术是最受欢迎的修复方式。然而由于... ...

怎么保养烤瓷牙
怎么保养烤瓷牙

怎么保养烤瓷牙?如今想做烤瓷牙修复的人越来越多,但是对烤瓷牙的保养护理却所知甚少,以至于许多烤瓷牙出现充血、感染等问题,那么,怎么保养烤瓷牙? ...

口腔修复怎么办
口腔修复怎么办

口腔修复怎么办?口腔内部牙齿缺失、或缺损受伤等,对口腔牙齿健康都有很大影响,为避免口腔遭受不必要的伤害,要及时进行补救,那么,口腔修复怎么办? ...

做全瓷牙修复需要多长时间
做全瓷牙修复需要多长时间

做全瓷牙修复需要多长时间,我们知道,全瓷牙是一种效果很好的烤瓷修复方式。自从全瓷牙出现以来,给很多牙齿缺损的朋友带来了良好的修复效果。听说全瓷牙的美容效果和修复效果一样好,所以很多朋友想用全瓷牙来美容... ...

镶牙后要注意哪些
镶牙后要注意哪些

镶牙后要注意哪些?镶牙一定要选择合适的牙科医院,这样才能保障镶牙材料长期使用,又能避免口腔发炎,而且专业牙医会建议你注意镶牙后一些事情,那么,镶牙后要注意哪些? ...

全瓷牙的优点都有哪些
全瓷牙的优点都有哪些

全瓷牙的优点都有哪些?如今全瓷牙已经渐渐成为牙齿修复的新时尚,帮助很多缺损牙患者恢复了口腔功能,而且全瓷牙修复牙齿具有很多不一样的优点,那么,全瓷牙的优点有哪些? ...

郑州修复虫牙多钱一颗
郑州修复虫牙多钱一颗

郑州修复虫牙多钱一颗?蛀牙也叫龋齿是一种常见口腔疾病,若不引起重视,易使龋坏越来越严重、龋洞越来越深,甚至伤失牙齿,因此得了蛀牙需趁早治疗,可是人们对补蛀牙价格问题不是很清楚,那么郑州修复虫牙多钱一颗... ...

郑州补牙价格是多少
郑州补牙价格是多少

郑州补牙价格是多少?做好口腔的护理才能保护牙齿健康,避免蛀牙的出现,如果患了蛀牙,一定要尽快补牙,不然牙齿损坏会更大,那么,郑州补牙价格是多少? ...