牙齿矫正一般需要多长时间?现在人们的生活水平提高,对口腔健康和形象也很重视起来了,很多牙齿不齐的爱美人士想要通过矫正来美化牙齿,但是也不是一两天就可以解决的,那么,牙齿矫正需要多长时间?
牙齿矫正的方法很多,目前好的方法当属隐形矫正和美容冠技术,当然牙齿矫正是需要一定的时间来完成的。那么牙齿矫正时间有多长?
、牙齿矫正时间并不是一个固定的数值,它和矫治的疗效与错颌畸形的严重程度、患者对正畸治疗的组织学反应、患者的合作程度、所使用的矫治器等等因素均有关系。由于存在众多的影响因素,所以正畸医生一般很难给出一个精确的治疗时间。
第二、牙齿正畸的时间还和顾客自身的情况有关,成年人和未成年人在牙齿矫正上有很大的差别,因为未成年人牙齿的发育还没有完成,有很多不确定的因素一般来讲,青少年矫治的时间为1年左右,简单病例可能几个月即可完成,复杂的可能要2年多。了解更多牙齿矫正,点击在线咨询,直接与专家相互交流!
如果您是未成年人,建议采用正畸方法来进行牙齿矫正。但如果您是成年人,可通过美牙冠来进行矫正。具体的还是建议您去当地正规专业的口腔医院进行详细检查,再针对合适的方法进行治疗。
中韩合作·唯美口腔牙齿矫正技术推荐
韩式四维隐形正畸技术是完全个性化的设计理念,可根据正畸者的情况佩带不同的矫治器,完全不影响正畸者的生活。具有隐形高效,稳定美观的特点,并且大大地缩短了疗程,使治疗时间缩短近三分之一,复诊时间缩短二分之一,为正畸者大大节省了时间,透明韩式四维隐形正畸矫正矫治器厚度不到1mm,透明、光滑、舒适,无异物感和粘膜刺激,是目前受欢迎和信赖的美齿项目。推荐阅读:韩式隐形正畸
中韩合作·唯美口腔牙齿矫正专家推荐

李玉如,口腔正畸科。副教授,副主任医师,硕士生导师,口腔医学正畸专业硕士。1991年毕业于中山医科大学口腔系,一直从事口腔正畸的临床、教学和科研工作,临床经验丰富,并注重知识的学习更新,2004年硕士学位毕业。擅长正畸科各类牙颌畸形及疑难病例的矫治,对青少年反牙合、开牙合、功能性矫治、阻生牙的导萌牵引及成年人牙颌畸形、牙周病的正畸治疗有良好的疗效。点击在线咨询,了解牙齿矫正的优惠信息!在线预约可享更多优惠!
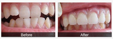
中韩合作·唯美口腔牙齿矫正前后对比图

温馨提示:以上讲述的是牙齿矫正时间,希望对大家对矫正的认识更深入,更多相关信息,可以直接点击我们中韩合作·唯美口腔的“在线咨询”进行询问,在线专家将给出专业、实力的解答。