牙齿修复技术的迅速更新,很多人都已经放弃了传统镶假牙的牙齿修复方式,种植牙技术几乎完全取代了传统镶假牙的地位,但是受到经济条件和技术条件的约束,原先的时候我们采用的都是传统假牙,那么相对于种植牙,传统镶假牙的优缺点有哪些?
对于牙齿缺失,镶假牙和种植牙是修复牙齿的两种方式,适用条件和效果都有区别。一般情况下,传统假牙可以分为固定假牙和活动假牙两种:
一、固定假牙是利用缺牙间隙相邻两侧好牙把假牙固定其上。患者自己不能自行取戴。
(1)、优点是体积小,舒适,无异物感,装入口腔后容易习惯;咀嚼功能比活动假牙要大。
(2)、缺点是两端基牙的条件要好,在制备时,还要磨除许多基牙,费时,对医生制备要求条件较高,有些人常因磨牙带来的酸痛而不欢迎固定假牙,另外,失牙不能过多,以1~2个牙齿缺失为宜。
二、活动假牙是利用塑料做基托,靠粘膜、骨组织作支持,可自由取戴的一种修复体,所以称活动义齿。
(1)、它的优点是操作比较简便,磨牙较少,美观好于金属冠套,病人容易接受,托牙可以取脱下来加以洗涤,有利于口腔卫生。“活牙”适应范围较广,能修复更多缺牙,可从缺失一个牙到几个甚至全口牙。
(2)、缺点是装镶以后不习惯的时间稍长,需要经过一段较长的时间才能习惯。了解更多牙齿修复方式,点击在线咨询,直接与专家相互交流,详细咨询!
由此看来,传统假牙有很多的限制,对于这些限制,种植牙就产生了,对于患者来说,是一个好消息,当然如果经济条件有困难,镶假牙也是一种不错的方式,适合自己的才是好的。
中韩合作·唯美口腔牙齿种植技术推荐
中韩合作·唯美口腔独家引进的CT“亲骨”种植技术是采用Implagraphy进行3D口腔CT成像,根据自身牙体骨骼或以自身骨组织系数来定制骨粉,比起传统的人造骨粉,更加精确无误,而且生物相容性更好、更稳定牢固、愈合更迅速。由于3D口腔CT成像的直接应用,使CT“亲骨”种植技术成功率大大的提高了,并象征着口腔种植领域的发展,迈出了革命性的一步。推荐阅读:亲骨超导种植技术
中韩合作·唯美口腔牙齿种植专家推荐

徐雅轩,国内知名CAM/CAD修复专家,精湛技术:牙齿矫正、1小时德国西诺德CAD/CAM3D齿雕全瓷修复、牙齿美容修复。毕业于南京医科大学口腔专业,长期从事口腔种植临床工作,在部队三甲医院工作多年,拥有多年深厚的口腔种植与研究经验。曾应邀参加瑞士ITI种植培训、德国西诺德3D齿雕培训,并出任多国种植集团特邀医师。其娴熟的种植技术和丰富的临床经验有机结合,注重从顾客的角度为出发点制定治疗方案,行医严谨,待人真诚,让广大缺牙顾客重新拥有完美的牙齿,深得顾客好评。点击在线咨询,了解牙齿种植的优惠信息!在线预约可享更多优惠!
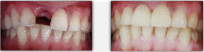
中韩合作·唯美口腔种植牙前后对比图

温馨提示:解决牙齿缺失烦恼,应该选择适合自己的方式,经济条件不好的可以选择镶假牙的方式。如果您有更多未解决的疑问,可点击中韩合作·唯美口腔的在线咨询,给您详细的解答。想要完好亮丽的牙齿,重拾美好记忆,中韩合作·唯美口腔是您好的选择。