做事情要对症下药,手术也要根据患者的实际情况判断是否手术是否可以进行,种植牙手术也不例外。虽然种植牙已经帮助许多牙齿缺失患者解除了烦恼,被国际上认为是牙齿缺失的首选修复手段,它也有一定的适应范围,那么种植牙的适应范围有多大?
种植牙有严格的适应症,不是任何条件都可以做种植牙的,必须经过医生诊断后方可进行,要看缺牙位置、牙槽骨、身体健康状况等。一般而言,它适用于以下情况:
1、戴用传统活动假牙固位差、无功能黏膜不能忍受者。
2、对假牙的美观、功能有特殊要求者。
3、缺牙周围的余留牙有问题,不能做传统假牙者。
4、牙齿缺失一个、多个牙、全部牙的患者。了解更多种植牙知识,点击在线咨询,与专家直接咨询了解!
5、下颌全口的牙槽严重吸收,戴用传统全口假牙有困难,功能不好,戴不牢者。
中韩合作·唯美口腔牙齿种植技术推荐
中韩合作·唯美口腔亲骨种植技术则是采用自身牙体骨骼或以自身骨组织系数来定制骨粉,比起传统的人造骨粉,生物活性更好、更稳定牢固、愈合更迅速,新技术的推出风靡了欧\美\亚等国家,在口腔种植领域的发展中迈出了革命性的一步。推荐阅读:亲骨超导种植技术
中韩合作·唯美口腔牙齿种植专家推荐

徐雅轩,国内知名CAM/CAD修复专家,精湛技术:牙齿矫正、1小时德国西诺德CAD/CAM3D齿雕全瓷修复、牙齿美容修复。毕业于南京医科大学口腔专业,长期从事口腔种植临床工作,在部队三甲医院工作多年,拥有多年深厚的口腔种植与研究经验。曾应邀参加瑞士ITI种植培训、德国西诺德3D齿雕培训,并出任多国种植集团特邀医师。其娴熟的种植技术和丰富的临床经验有机结合,注重从顾客的角度为出发点制定治疗方案,行医严谨,待人真诚,让广大缺牙顾客重新拥有完美的牙齿,深得顾客好评。点击在线咨询,了解牙齿种植的优惠信息!在线预约可享更多优惠!
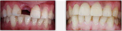
中韩合作·唯美口腔种植牙前后对比图

温馨提示:中韩合作·唯美口腔医院拥有先进的网络远程会诊信息系统,为每一位患者争取佳治疗时机、享受实力医疗资源、申请优惠的治疗价格。网上挂号—方便快捷,在线咨询时间获取需信息。