种植牙术后如何保养?牙齿缺失一直以来是一些患者的烦恼,随着种植牙的问世,得到了一些缓解,可是有些人却不注意对种植牙的保养,导致术后效果很不理想,那么,种植牙术后如何保养?
任何手术做完后,都需要休养护理过程,种植牙也不例外,一般情况下,种植牙术后需要做些以下几种措施。
1、种植牙保养要保持口腔卫生。做好口腔卫生是延长种植牙寿命的关键,不但每天早晚要注意刷牙,平时一日三餐后也要漱口刷牙,清除干净牙齿的角角落落,避免细菌在牙齿缝隙中繁殖生长引发蛀牙。
2、定时到医院复诊。一般做完种植牙之后医生都会提醒患者合适该复诊,患者要牢记医生的嘱咐,一旦种植牙出现问题也可以及时调整解决,这也是种植牙保养的方法中非常重要的一点。了解更多种植牙,点击在线咨询,直接与专家相互交流!
3、饮食禁止咀嚼硬物。种植牙手术后不要立即咀嚼硬物以免造成牙齿松动或者烤瓷牙冠崩瓷,种植牙保养应该尽量食用流质或者是半流质食物,种植牙毕竟是人工牙齿不能和自身的真牙相比拟,一旦发生损坏就不容易修补了。
中韩合作·唯美口腔牙齿种植技术推荐
亲骨超导即刻种植技术是运用3D口腔CT成像技术,根据扫描数据分析病人牙床的骨质密度、牙槽骨本身的高度、宽度等信息,运用国际先进的微创种植技术,提取牙齿缺失患者自身的牙体骨骼来定制人造骨,保持极高的生物活性,避免了与空气接触后的活性丧失,骨粉在血液循环的作用下与牙槽骨迅速、牢固地结合,达到极佳的口腔相容性。采用微螺纹表面特殊处理的种植体,大限度增加与颌骨接触面积,使种植体在良好的成骨组织上稳固生长,实现真牙般的咀嚼感受。这样极大地提高了种植牙手术的成功率。推荐阅读:亲骨超导种植技术
中韩合作·唯美口腔牙齿种植专家推荐

郑淳奎,口腔颌面外科硕士、口腔修复医学博士。精堪技术:种植牙修复。毕业于韩国首尔大学牙医学院,1995年赴瑞典皇家学院口腔医学院、美国华盛顿大学口腔医学院求学,先后获得了口腔颌面外科硕士、牙周病学硕士、口腔修复医学博士等学位。回国后将韩国整形医学与德国CEREC 3D数字齿雕系统结合,革新了口腔美容设计的传统治疗方法,获韩国齿周科学会新人学术奖及保健福利部长官奖。2000年又赴德国深造普士即刻种植牙技术,并成为位为德国人实施种植手术的亚洲专家。对各种种植修复技术有很深的造诣,先后在日本齿周科学会、日本齿科学会发表论文,获大韩齿周科学会新人学术奖,获韩国保健福利部长官奖,在韩国牙科界享有很高的美誉。点击在线咨询,了解牙齿种植的优惠信息!在线预约可享更多优惠!
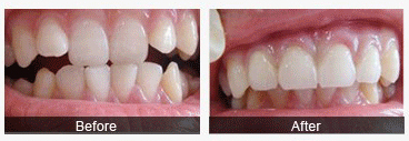
中韩合作·唯美口腔种植牙前后对比图

郑州牙科医院排名好的医院温馨提示:以上是对种植牙术后保养的介绍,相信大家对种植牙的效果有所了解,更多疑问,可以点击在线咨询,由在线医生做详细解答。