郑州正规医院洗牙多少钱
郑州正规医院洗牙多少钱

郑州正规医院洗牙多少钱,口腔健康是人们最常容易忽视的地方。正所谓“病从口入”,当口腔没有做好清洁工作时,身体的健康就没有保证,因此,口腔的健康对我们自身健康来说是很关键的,所以大家不仅要 ...

郑州洗牙对牙齿好不好
郑州洗牙对牙齿好不好

郑州洗牙对牙齿好不好,亮白的牙齿是关系到个人形象的重要标准,因此为了牙齿,口腔健康以及个人形象,大家应该定期到正规的口腔医院进行洗牙!而超声波是理想的洗牙方式!超声波洗牙不仅能够美白牙齿 ...

郑州一般洗牙多少钱
郑州一般洗牙多少钱

郑州一般洗牙要多少钱,如今人们对牙齿的重视度也是越来越高,所以很多人为了口腔健康选择洗牙的方式进行口腔保护,通过洗牙可以去除牙齿上的污垢以及牙菌斑。那么郑州一般洗牙要多少钱,下面我们就 ...

郑州哪个牙科做牙齿美容冠好
郑州哪个牙科做牙齿美容冠好

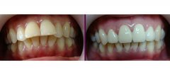
郑州哪个牙科做牙齿美容冠好,深度着色牙齿的患者,不用发愁,美容冠来帮您治疗,下面请唯美口腔医院专家来为大家讲解一下,美容冠治疗深度着色牙齿的优势.快速不复发,安全有效,那么不少人就关心郑州哪 ...

郑州美容冠修复大概多少钱
郑州美容冠修复大概多少钱

郑州美容冠修复大概多少钱,作为一种新兴牙齿美容技术,美容冠的效果对于一些传统的美牙技术,其效果要好很多,更加专业,能达到终身有保障的美牙效果。很多牙齿难看或不满意者肯定很动心了,那么 ...

郑州美容冠牙齿矫正多少钱
郑州美容冠牙齿矫正多少钱

 郑州美容冠牙齿矫正多少钱,每个人都希望自己的牙齿整齐有靓丽,可是牙齿畸形,着色以及缺损等问题发生,这些问题都会给患者造成伤害,随着医疗发展,牙齿美容冠修复是一个有效改变牙齿着色,缺 ...

郑州美容冠正牙需要多少钱
郑州美容冠正牙需要多少钱

 郑州美容冠正牙需要多少钱,随着美容冠技术的不断发展完善,已经有越来越多牙齿健康缺乏患者选择美容冠修复破损牙齿。具有无懈可击的秀丽外观,让你愈加有吸引力。做美容冠也不能够漫不经心,所 ...

郑州哪家医院做美容冠更好
郑州哪家医院做美容冠更好

 郑州哪家医院做美容冠最好,随着人们牙齿问题的增多,越来越多的人选择美容冠的方式进行牙齿修复,因美容冠具有美牙不拔牙,咀嚼功能好,方便等优势,所以越来越多人采取美容冠修复牙齿,那么郑 ...

郑州做贴面去哪家
郑州做贴面去哪家

 郑州做贴面去哪家,全瓷贴面修复是指在不磨牙或是尽量少磨牙的情况下,通过粘接材料,将一层的薄薄的瓷料修复体固定在患者的牙齿部位,从而达到恢复牙齿缺损或是牙齿变色的一种方法,常常用于前牙美容领域。那么郑... ...

郑州洗牙哪里好
郑州洗牙哪里好

 郑州洗牙哪里好,对于那些经常口腔异味的朋友,应该定期的去清洗牙齿,这样就可以避免很多牙齿疾病的发生,从而起到很好的预防的作用,而且洗牙还可以去除牙齿上的牙结石,能够更好的保护我们的口腔。那么很多人担... ...