缺牙有哪些不利影响?牙齿受伤、患病等都可能导致牙齿缺失,对身心健康影响很大,具体表现很多方面,那么,缺牙有哪些不利影响?
缺牙一定要及时进行修复,特别是做种植牙,效果好,一般情况,缺牙有这些不利影响:
1、缺牙引发营养不良。缺牙影响咀嚼功能,食物没有经过充分咀嚼就进入肠胃,会增加胃肠的负担,长时间的超负荷工作,肠胃功能就会发生紊乱,诱发营养吸收障碍。
2、缺牙诱发口内占位病变(癌变)。牙齿缺失很容易导致口腔粘膜咬伤导致反复感染,如果不尽快恢复咀嚼功能,口腔粘膜会在长期咬伤和感染的口腔环境中逐渐发生质变,终诱发癌变。了解更多种植牙,点击在线咨询,直接与专家相互交流!
3、缺牙导致口齿不清。牙齿缺失后,气息不能准确通过口腔,会导致发声扭曲,这就是我们常说的“露风”,牙齿“露风”已经成为缺牙患者交际障碍之一。
中韩合作·唯美口腔牙齿种植技术推荐
亲骨超导即刻种植技术是运用3D口腔CT成像技术,根据扫描数据分析病人牙床的骨质密度、牙槽骨本身的高度、宽度等信息,运用国际先进的微创种植技术,提取牙齿缺失患者自身的牙体骨骼来定制人造骨,保持极高的生物活性,避免了与空气接触后的活性丧失,骨粉在血液循环的作用下与牙槽骨迅速、牢固地结合,达到极佳的口腔相容性。采用微螺纹表面特殊处理的种植体,大限度增加与颌骨接触面积,使种植体在良好的成骨组织上稳固生长,实现真牙般的咀嚼感受。这样极大地提高了种植牙手术的成功率。推荐阅读:亲骨超导种植技术
中韩合作·唯美口腔牙齿种植专家推荐

郑淳奎,口腔颌面外科硕士、口腔修复医学博士。精堪技术:种植牙修复。毕业于韩国首尔大学牙医学院,1995年赴瑞典皇家学院口腔医学院、美国华盛顿大学口腔医学院求学,先后获得了口腔颌面外科硕士、牙周病学硕士、口腔修复医学博士等学位。回国后将韩国整形医学与德国CEREC 3D数字齿雕系统结合,革新了口腔美容设计的传统治疗方法,获韩国齿周科学会新人学术奖及保健福利部长官奖。2000年又赴德国深造普士即刻种植牙技术,并成为位为德国人实施种植手术的亚洲专家。对各种种植修复技术有很深的造诣,先后在日本齿周科学会、日本齿科学会发表论文,获大韩齿周科学会新人学术奖,获韩国保健福利部长官奖,在韩国牙科界享有很高的美誉。点击在线咨询,了解牙齿种植的优惠信息!在线预约可享更多优惠!
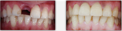
中韩合作·唯美口腔种植牙前后对比图

郑州牙科医院排名好的医院温馨提示:以上是一些缺牙不利影响,需要患者及时进行修复,更多缺牙疑问,点击在线咨询,请教在线专家。